试题详情
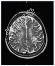
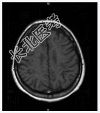
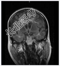
- [材料题] 患者女,28岁,反复左下肢无力4年余,痛觉减退2月余。查体:神清,左局部触觉减弱,左下肢肌力Ⅳ级,双巴氏征(+)。2001年MR示:脑脱鞘改变。行头颅MR平扫。

- 简答题1、诊断及依据是什么?
关注下方微信公众号,搜题查看答案

- 简答题2、鉴别诊断有哪些?
关注下方微信公众号,搜题查看答案

热门试题
- 1、患者的鉴别诊断有哪些?2、强直性脊柱
- 1、诊断要点是什么?2、鉴别诊断是什么?
- 1、请简述该病例的诊断要点是什么?2、鉴
- 1、肺结核不同类型的影像特点有哪些?2、
- 1、诊断要点是什么?2、鉴别诊断是什么?
- 1、该病例最可能的诊断是什么?2、该病例
- 1、诊断要点是什么?2、鉴别诊断是什么?
- 1、诊断及依据是什么?2、鉴别诊断有哪些
- 1、脉络丛肿瘤的影像学诊断有哪些?2、脉
- 1、患者的诊断及依据是什么?2、鉴别诊断
- 1、患者的诊断及依据是什么?2、鉴别诊断
- 1、鼻腔内翻乳头状瘤的影像诊断要点是什么
- 1、影像诊断思路是什么?2、诊断要点与鉴
- 1、气胸的主要影像学检查方法是哪些?2、
- 1、CT引导下穿刺活检术的适应证和禁忌证
- 1、请简述该病例的诊断要点是什么?2、鉴
- 1、转移瘤的鉴别诊断有哪些?2、转移瘤的
- 1、患者的诊断及依据是什么?2、患者的相
- 1、影像诊断思路是什么?2、诊断要点与鉴
- 1、影像诊断思路是什么?2、诊断要点是什