试题详情
- [材料题] 一、病史
患者51岁、男性。2009年6月行结肠癌根治术,曾行9周期辅助化疗。2014年6月因头晕1周来院就诊。
二、影像学资料及分析
影像学资料如图16-1、图16-2所示。
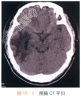
读片分析:颅脑CT平扫显示右侧额叶及右颞枕叶片状低密度影,其内密度不均。周围脑组织呈水肿性低密度,邻近脑沟、裂变窄变浅。
颅脑平扫加强化MRI检查显示:右侧额叶及右颞枕叶见一长T₁等长T₂异常信号,注入对比剂后呈明显不均质强化,中间呈坏死性不强化改变。病变强化后边界不清,病变定位脑内,非硬脑膜起源,未见脑膜尾征。周围脑组织可见血管源性水肿征象,累及皮质下和深部白质。MRI检查显示较CT扫描清晰、明显。结合患者临床表现,考虑患者为转移瘤。
- 简答题1、转移瘤的鉴别诊断有哪些?
关注下方微信公众号,搜题查看答案

- 简答题2、转移瘤的CT及MRI表现有哪些?
关注下方微信公众号,搜题查看答案

热门试题
- 1、患者诊断要点是什么?2、病毒性脑炎鉴
- 1、心包积液的检查方法与选择2、心包积液
- 1、原发性肝癌的鉴别诊断有哪些?2、原发
- 1、患者的诊断为什么?2、颈动脉间隙内有
- 1、诊断及依据是什么?2、鉴别诊断有哪些
- 1、表皮样囊肿影像学诊断有哪些?2、表皮
- 1、影像诊断思路是什么?2、诊断要点是什
- 1、请简述该病例的诊断要点是什么?2、鉴
- 1、患者的诊断及依据是什么?2、鉴别诊断
- 1、慢性阻塞性肺气肿的形成原因和病理过程
- 1、患者的诊断及依据是什么?2、患者的相
- 1、肾上腺嗜铬细胞瘤影像学表现有哪些?2
- 1、患者的鉴别诊断有哪些?2、慢性中耳乳
- 1、患者的诊断及依据是什么?2、鉴别诊断
- 1、请简述该病例的诊断要点是什么?2、鉴
- 1、简述患者的处理方案及基本原则。2、胆
- 1、患者的诊断及依据是什么?2、鉴别诊断
- 1、患者X线检查的主要影像表现是什么?2
- 1、患者的诊断及依据是什么?2、鉴别诊断
- 1、最可能的诊断是什么?2、该病包括哪几