试题详情
- [材料题] 【临床病史】女性,62岁。发热,伴全身乏力3周。
【专科查体】腹部平坦、对称,有腹肌紧张,有压痛、反跳痛。
【腹部CT检查】行腹盆腔平扫及双期增强扫描。扫描范围自膈顶至耻骨联合下缘。CT扫描参数:层厚5.00mm,层间距5.00mm,螺距0.984,最大管电压均为120kV,电流使用智能毫安调节,球管旋转0.8秒/圈。重建参数:以标准算法将原始图像以1.25mm层厚、1.25mm间隔重建;以3.5~4.5ml/s的流率静脉团注(剂量1.5ml/kg)非离子型对比剂,分别延迟20~25秒、45~55秒行动脉期及门静脉期扫描。
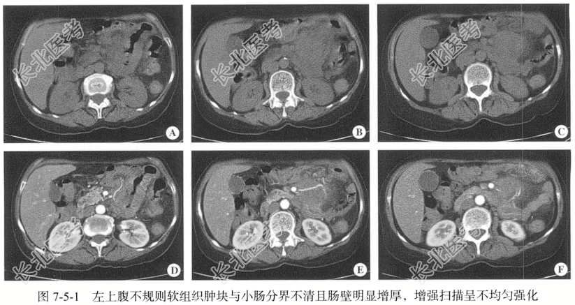
【影像图片】见图7-5-1。
【手术所见】小肠Treitz韧带起始处小肠系膜见大小约为6.00cm×7.00cm肿瘤,肿瘤固定导致空肠起始处肠管受压狭窄。
【病理所见】肉眼所见(小肠系膜肿物)结节2枚,大者体积约为2.20cm×1.80cm×0.80cm,表面呈灰红色,似覆包膜,切面呈灰红色,质中,小者体积约为1.50cm×1.10cm×0.60cm,表面呈灰红色,似覆包膜,切面呈灰红色,质中(图7-5-2)。免疫组化结果:CD3(+),CD20(-),EMA(-),CD30(+),Ki-67(50%+),AE1/AE3(-),CAM5.2(-),ALK(普通-),CK7(-),CK20(-),CDX2(-),CD2(+),MUM1(+),Pax-5(-)。
【病理诊断】ALK阴性的间变性大细胞肠系膜淋巴瘤。
- 简答题1、诊断要点是什么?
关注下方微信公众号,搜题查看答案

- 简答题2、鉴别诊断是什么?
关注下方微信公众号,搜题查看答案

热门试题
- 1、影像诊断思路是什么?2、诊断要点是什
- 1、诊断要点是什么?2、鉴别诊断是什么?
- 1、患者的诊断及依据是什么?2、鉴别诊断
- 1、患者应进行哪些检查?2、患者行胸片正
- 1、诊断及依据是什么?2、鉴别诊断有哪些
- 1、患者的诊断及依据是什么?2、患者的相
- 1、X线异常影像表现有哪些?2、该患者诊
- 1、该患者的诊断及依据是什么?2、高级别
- 1、肺隔离症的主要影像学检查方法哪些?2
- 1、患者的诊断及依据是什么?2、胃肠道间
- 1、患者的诊断及依据是什么?2、鉴别诊断
- 1、患者的诊断及依据是什么?2、鉴别诊断
- 1、患者的诊断及依据是什么?2、鉴别诊断
- 1、诊断及依据是什么?2、鉴别诊断有哪些
- 1、为什么选择颈椎张口位来观察寰枢椎?2
- 1、诊断及依据是什么?2、鉴别诊断有哪些
- 1、患者的诊断及依据是什么?2、鉴别诊断
- 1、骨肉瘤的鉴别诊断有哪些?2、患者的检
- 1、慢性阻塞性肺气肿的形成原因和病理过程
- 1、请问该病例可能的临床拟诊为?2、为进