试题详情
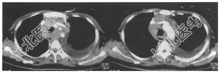
- [材料题] 患者,男。咳嗽、咳痰6个月余,胸痛、乏力1个月。查体:左下肺呼吸音无。X线平片示:上纵隔影增宽,左侧中量胸腔积液。胸部CT如下图所示。

- 简答题1、该病例最可能的诊断是什么?
关注下方微信公众号,搜题查看答案

- 简答题2、该病例常见的CT表现是什么?
关注下方微信公众号,搜题查看答案

- 简答题3、该病例最好的治疗方法是什么?
关注下方微信公众号,搜题查看答案

热门试题
- 1、根据以上资料,应该做哪些检查?2、患
- 1、患者的诊断及依据是什么?2、肠扭转的
- 1、根据以上资料应该做哪些检查?2、患者
- 1、患者的诊断及依据是什么?2、鉴别诊断
- 1、请简述该病例的诊断要点是什么?2、鉴
- 1、患者的诊断及依据是什么?2、鉴别诊断
- 1、简述畸胎瘤的检查方法与选择。2、典型
- 1、患者的诊断及依据是什么?2、鉴别诊断
- 1、患者的诊断及依据是什么?2、鉴别诊断
- 1、诊断及依据是什么?2、鉴别诊断有哪些
- 1、患者的诊断及依据是什么?2、鉴别诊断
- 1、影像诊断思路是什么?2、诊断要点是什
- 1、畸形性骨炎及其病变发展阶段有哪些?2
- 1、患者的诊断及依据是什么?2、患者的相
- 1、典型胸腺瘤的影像学表现有哪些?2、侵
- 1、患者CT检查的主要影像表现是什么?2
- 1、诊断及依据是什么?2、鉴别诊断有哪些
- 1、气胸的主要影像学检查方法是哪些?2、
- 1、诊断要点是什么?2、鉴别诊断是什么?
- 1、诊断及依据是什么?2、鉴别诊断有哪些