试题详情
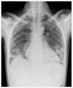
- [材料题] 男性,32岁,发热伴咳嗽、咳血丝痰一个多月,发热波动于38~39℃,外院拟肺炎抗炎治疗效果不著,入我院诊治。无盗汗,无咯血,体重下降10多斤,大小便正常。吸毒病史抽烟史10年。一般情况:无特殊。体查:右下肺湿啰音(小水泡音),二、三尖瓣听诊区闻及收缩期吹风样杂音2/6级。血常规:WBC 10.4,Ne82%。彩超:右心感染性心内膜炎,三尖瓣赘生物,重度三尖瓣漏,心包积液。痰肿瘤细胞学报告:未找到癌细胞。痰培养:无Ⅱ甲菌生长。

- 简答题1、请问该患儿诊断是什么?
关注下方微信公众号,搜题查看答案

- 简答题2、请问诊断依据是什么?
关注下方微信公众号,搜题查看答案

- 简答题3、鉴别诊断有哪些?
关注下方微信公众号,搜题查看答案

热门试题
- 1、请问该病例诊断是什么?2、请问诊断依
- 1、CT检查如下图,请问拟诊断为什么?
- 1、该患者的影像诊断是什么?2、胸腺瘤临
- 1、若病人有明确的外伤史1周,出现局部红
- 1、请问该病例影像学首先应做哪些检查?2
- 1、请问该患者可能的诊断是什么?2、请问
- 1、请问影像诊断思路是什么?2、请问诊断
- 1、请问该患者入院后首先要做哪项常规检查
- 1、请问该患者诊断是什么?2、请问鉴别诊
- 1、请问该案例诊断是什么?2、请问诊断依
- 1、请问该患者最恰当的诊断是什么?2、患
- 1、为明确病情,请问患者应优先选择哪种常
- 1、诊断是什么?2、心包积液的常见原因有
- 1、脉络丛肿瘤临床表现有?2、脉络丛肿瘤
- 1、影像诊断思路是什么?2、诊断要点与鉴
- 1、请问患者诊断是什么?2、请问诊断依据
- 1、结合CT检查,最可能的诊断是?2、椎
- 1、请问该病例诊断是什么?2、请问该患儿
- 1、最可能的诊断是?2、该病例主要的病变
- 1、此病例最可能诊断为?2、该病患者的心