试题详情
- [材料题] 患者女性,70岁。因“咳嗽、痰中带血3个月余”就诊。听诊无异常发现。胸部正侧位片发现右肺上叶类圆形小结节。
- 简答题1、为明确病情,请问患者应优先选择哪种常规检查?
关注下方微信公众号,搜题查看答案

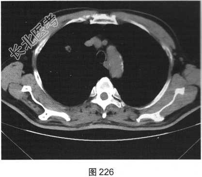
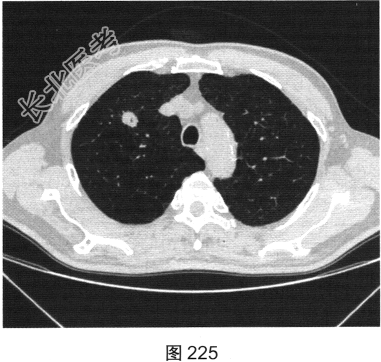
- 简答题2、患者行胸部CT检查,如图225、图226所示。请问该患者CT图像可见什么阳性表现?

关注下方微信公众号,搜题查看答案

- 简答题3、请问该患者最有可能的诊断是什么?
关注下方微信公众号,搜题查看答案

- 简答题4、为了进一步确诊,请问需要做哪些检查?
关注下方微信公众号,搜题查看答案

- 简答题5、如果一旦确诊,请问有什么治疗计划?
关注下方微信公众号,搜题查看答案

热门试题
- 1、请问该案例诊断是什么?2、请问诊断依
- 1、影像诊断思路是什么?2、诊断要点与鉴
- 1、该病患诊断是什么?2、鉴别诊断有哪些
- 1、该患者的诊断是什么?2、前列腺增生临
- 1、请叙述卵巢癌临床症状和该影像学表现?
- 1、请对该患者影像征象进行描述。2、根据
- 1、CT检查如下图,请问拟诊断为什么?
- 1、该患者的诊断是什么?2、胆囊癌的高危
- 1、该患者最有可能的诊断是?2、表皮样囊
- 1、请问诊断是什么?2、诊断依据是什么?
- 1、患者最可能的诊断是?2、[提示]患者
- 1、请对该病的MRI进行描述。2、根据该
- 1、请问该患者可能诊断的疾病为?2、请问
- 1、请问针对该病患最准确的诊断是什么?2
- 1、请问该病诊断是什么?2、膀胱结石的主
- 1、请问最可能的诊断是?2、为进一步确诊
- 1、该病例首先诊断为:2、黄色肉芽肿性肾
- 1、请问该病例诊断是什么?2、请问该患儿
- 1、请问该患者应首先考虑的诊断是什么?2
- 1、此病例最可能诊断为?2、该病患者的心