试题详情
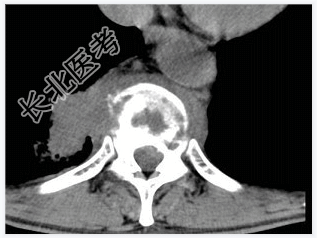
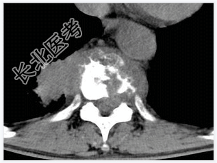
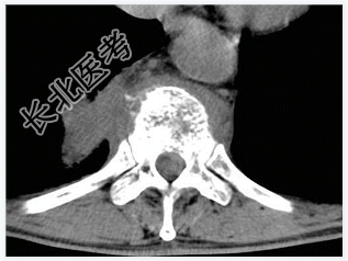
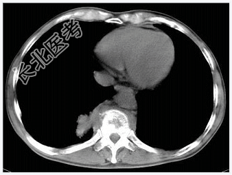
- [材料题] 男,32岁,低热、腰背痛,活动受限。

- 简答题1、结合CT检查,最可能的诊断是?
关注下方微信公众号,搜题查看答案

- 简答题2、椎体结核的典型症状是什么?
关注下方微信公众号,搜题查看答案

- 简答题3、椎体结核的诊断方法有哪些?
关注下方微信公众号,搜题查看答案

- 简答题4、椎体结核的治疗原则是什么?
关注下方微信公众号,搜题查看答案

热门试题
- 1、最可能的诊断是?2、为什么患者会有长
- 1、请问该患者的诊断是什么?2、请问该病
- 1、影像诊断思路是什么?2、诊断要点与鉴
- 1、为明确病情,请问患者应优先选择哪种常
- 1、脑脊液检查结果如何支持化脓性脑膜炎的
- 1、请问该患者诊断应该是什么?2、请问该
- 1、最可能的诊断是?2、该病例主要的病变
- 1、请问该病例最可能的诊断是什么?2、为
- 1、对于此患者,请问应考虑的诊断是什么?
- 1、该病最可能的诊断是?2、类风湿关节炎
- 1、请叙述卵巢癌临床症状和该影像学表现?
- 1、为了明确诊断,请问需要做哪些检查?2
- 1、请问该患者最可能的诊断是什么?2、请
- 1、影像诊断思路是什么?2、诊断要点与鉴
- 1、影像诊断思路是什么?2、诊断要点与鉴
- 1、请问该患者诊断是什么?2、请问鉴别诊
- 1、CT检查如下图,请问拟诊断为什么?
- 1、本病最可能诊断为?2、请问诊断依据是
- 1、应首先考虑的诊断是?2、多发骨髓瘤的
- 1、硬膜下血肿临床表现有哪些?2、硬膜下