试题详情
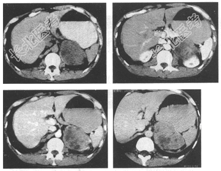
- [材料题] 患者,男,43岁。体检发现左肾上腺肿物4天。患者4天前B超发现左中上腹肿物,边界尚清,形态欠规则,不伴头痛、头晕,不伴心悸、视物模糊。查体:BP 111/66mmHg。
- 简答题1、CT检查如下图,请问拟诊断为什么?

关注下方微信公众号,搜题查看答案

- 简答题2、为确诊该病,请问需要做哪些检查?
关注下方微信公众号,搜题查看答案

- 简答题3、请问该病有哪些表现?
关注下方微信公众号,搜题查看答案

- 简答题4、请问该病有哪些治疗措施?
关注下方微信公众号,搜题查看答案

热门试题
- 1、请问患者诊断是什么?2、请问诊断依据
- 1、该病例首先诊断为:2、黄色肉芽肿性肾
- 1、脑脊液检查结果如何支持化脓性脑膜炎的
- 1、请问该患者入院后首先要做哪项常规检查
- 1、影像诊断思路是什么?2、诊断要点与鉴
- 1、患者可诊断为?2、患者优先选择的检查
- 1、患者已行颈部CT扫描,主要图像如下,
- 1、CT检查如下图,请问拟诊断为什么?
- 1、请问该病的影像学表现是什么?2、请问
- 1、最可能的诊断是?2、该病例主要的病变
- 1、患者最可能的诊断是?2、提示]患者入
- 1、请问该病例诊断是什么?2、请问诊断依
- 1、初步诊断为何病?2、AS的诊断依据是
- 1、关于该病变,首选的检查方法是?2、提
- 1、请问该患者可能诊断的疾病为?2、请问
- 1、请问可能诊断的是?2、为进一步明确诊
- 1、请问该患者最可能的诊断是什么?2、请
- 1、最可能的诊断是?2、为什么患者会有长
- 1、请问可能诊断的疾病有哪些?2、囊性肿
- 1、为了明确病情,请问患者应优先选择哪些