试题详情
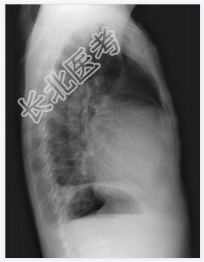
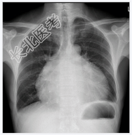
- [材料题] 患者,男性,51岁,腹胀1月余入院。查体:腹围增大,移动性浊音阳性。心界扩大,心音遥远。行胸部平片检查。

- 简答题1、诊断是什么?
关注下方微信公众号,搜题查看答案

- 简答题2、心包积液的常见原因有哪些?
关注下方微信公众号,搜题查看答案

- 简答题3、心包积液的典型临床表现是什么?
关注下方微信公众号,搜题查看答案

热门试题
- 1、请对该病变CT影像表现进行描述。2、
- 1、为了明确病情,请问患者应优先选择哪些
- 1、请问患者入院后应先选择哪些常规检查?
- 1、该患者的诊断是什么?2、肝脓肿的常见
- 1、请对该患者影像征象进行描述。2、根据
- 1、请问诊断是什么?2、诊断依据是什么?
- 1、该患者的诊断是什么?2、胆囊癌的高危
- 1、结合CR和MR,最可能的诊断是?2、
- 1、请对该病的MRI进行描述。2、根据该
- 1、前列腺癌临床表现?2、前列腺癌的危险
- 1、请问最可能的诊断是?2、为进一步确诊
- 1、请问你认为应做哪些检查?2、患者所做
- 1、请问该病例最可能的诊断是?2、为了排
- 1、请问该患者的影像诊断是什么?2、该病
- 1、请问病毒性脑炎临床表现有哪些?2、请
- 1、该患者的影像诊断是什么?2、胸腺瘤临
- 1、为明确诊断,请问需要做哪些检查?2、
- 1、该患者的影像诊断是什么?2、胆脂瘤临
- 1、请问肥厚型心肌病的临床表现有哪些?2
- 1、请问可能诊断的是?2、为进一步明确诊