试题详情
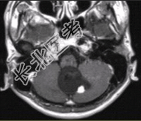
- [材料题] 男性,20岁。恶心、呕吐3d,剧烈头痛加重1d入院。MRI显示小脑下蚓部长T₁、长T₂信号影,病变可见结节状明显强化,如下图。

- 简答题1、请问该患者可能的诊断是什么?
关注下方微信公众号,搜题查看答案

- 简答题2、请问该病与VHL的关系是什么?
关注下方微信公众号,搜题查看答案

热门试题
- 1、请对该病的MRI进行描述。2、根据该
- 1、该患者最有可能的诊断是?2、表皮样囊
- 1、最可能的诊断是?2、室间隔缺损临床表
- 1、从题干临床表现看,应首先考虑哪种疾病
- 1、该病例首先诊断为:2、黄色肉芽肿性肾
- 1、影像诊断思路是什么?2、诊断要点与鉴
- 1、请问该患者的影像诊断是什么?2、该病
- 1、请问你认为最可能的诊断是什么?2、请
- 1、请问该患者诊断应该是什么?2、请问该
- 1、脑脊液检查结果如何支持化脓性脑膜炎的
- 1、该病例可能的诊断是什么?2、CT检查
- 1、请问该病例首选诊断的疾病是什么?2、
- 1、结直肠癌临床特点是什么?2、如何有效
- 1、应首先考虑的诊断是?2、多发骨髓瘤的
- 1、图中钙化应考虑为?本病应诊断为?2、
- 1、该患者的影像诊断是什么?2、胸腺瘤临
- 1、请问针对该病患最准确的诊断是什么?2
- 1、为了明确病情,请问患者应优先选择哪些
- 1、最可能的诊断是?2、该病例主要的病变
- 1、请问该患者最有可能的诊断是什么?2、