试题详情
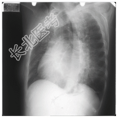
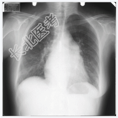
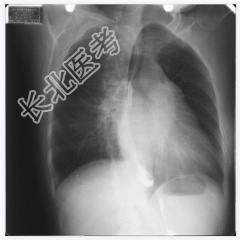
- [材料题] 女,50岁,主诉:胸闷、心悸4个月。听诊:心尖部听到舒张期和收缩期杂音。

- 简答题1、请问该案例诊断是什么?
关注下方微信公众号,搜题查看答案

- 简答题2、请问诊断依据是什么?
关注下方微信公众号,搜题查看答案

- 简答题3、风湿性心脏病临床表现有哪些?
关注下方微信公众号,搜题查看答案

热门试题
- 1、请问患者诊断是什么?2、请问诊断依据
- 1、结直肠癌临床特点是什么?2、如何有效
- 1、请问你认为应做哪些检查?2、患者所做
- 1、请问该患者诊断是什么?2、诊断依据是
- 1、患者最可能的诊断是?2、提示]患者入
- 1、请问该患者最有可能的诊断是什么?2、
- 1、最可能的诊断是?2、室间隔缺损临床表
- 1、请对该患者影像征象进行描述。2、根据
- 1、从题干临床表现看,应首先考虑哪种疾病
- 1、请问关于该病变,首选的检查方法是什么
- 1、请问诊断是什么?2、诊断依据是什么?
- 1、初步诊断为何病?2、AS的诊断依据是
- 1、为明确病情,请问患者应优先选择哪种常
- 1、请叙述卵巢癌临床症状和该影像学表现?
- 1、请问该病例诊断是什么?2、请问诊断依
- 1、影像诊断思路是什么?2、诊断要点与鉴
- 1、该患者最有可能的诊断是?2、表皮样囊
- 1、该患者的诊断是什么?2、肝脓肿的常见
- 1、请问可能诊断的是?2、为进一步明确诊
- 1、请问该患者应首先考虑的诊断是什么?2