试题详情
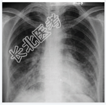
- [材料题] 患者,男性,55岁。咳嗽、发热1周入院。查体:体温,38.1℃;双肺呼吸音粗,双下肺可闻及细湿啰音。心脏听诊无异常。行胸部正位片检查。

- 简答题1、请问该患者诊断是什么?
关注下方微信公众号,搜题查看答案

- 简答题2、请问鉴别诊断有哪些?
关注下方微信公众号,搜题查看答案

- 简答题3、支气管肺炎治疗方法有哪些?
关注下方微信公众号,搜题查看答案

热门试题
- 1、该患者的诊断是什么?2、前列腺增生临
- 1、请问特发性肺间质纤维化临床特点是什么
- 1、请问该患者诊断是什么?2、诊断依据是
- 1、本病最可能诊断为?2、请问诊断依据是
- 1、影像诊断思路是什么?2、诊断要点与鉴
- 1、请问该患者最可能的诊断是什么?2、请
- 1、前列腺癌临床表现?2、前列腺癌的危险
- 1、请问最可能的诊断是?2、为进一步确诊
- 1、请问该病例影像学首先应做哪些检查?2
- 1、请问可能诊断的疾病有哪些?2、囊性肿
- 1、为了明确病情,请问患者应优先选择哪些
- 1、影像诊断思路是什么?2、诊断要点与鉴
- 1、为明确病情,请问患者应优先选择哪种常
- 1、请叙述卵巢癌临床症状和该影像学表现?
- 1、患者最可能的诊断是?2、[提示]患者
- 1、该患者诊断为?2、请问咽腔可以划分几
- 1、影像诊断思路是什么?2、诊断要点与鉴
- 1、该病例可能的诊断是什么?2、CT检查
- 1、请问针对该病患最准确的诊断是什么?2
- 1、影像诊断思路是什么?2、诊断要点与鉴