试题详情
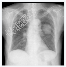
- [材料题] 患者,女性,83岁,低热一个多月,伴乏力、纳差、咳嗽,曾咯血丝痰。查体:体温,37.8℃;双肺呼吸音粗,未闻及明确干湿性啰音。心脏体查无异常。行胸部平片检查。

- 简答题1、请问该病例诊断是什么?
关注下方微信公众号,搜题查看答案

- 简答题2、请问诊断依据是什么?
关注下方微信公众号,搜题查看答案

- 简答题3、鉴别诊断有哪些?
关注下方微信公众号,搜题查看答案

热门试题
- 1、请问该患者首选的诊断是什么?2、为进
- 1、该患者的影像诊断是什么?2、甲状腺癌
- 1、请问该病例最可能的诊断是?2、为了排
- 1、请问最可能的诊断是?2、为进一步确诊
- 1、为明确诊断,请问需要做哪些检查?2、
- 1、请问该患儿诊断是什么?2、请问诊断依
- 1、请问该患者诊断是什么?2、诊断依据是
- 1、请问肥厚型心肌病的临床表现有哪些?2
- 1、请问特发性肺间质纤维化临床特点是什么
- 1、请问该患者可能的诊断是什么?2、请问
- 1、患者最可能的诊断是?2、[提示]患者
- 1、该患者的影像诊断是什么?2、胸腺瘤临
- 1、结直肠癌临床特点是什么?2、如何有效
- 1、患者已行颈部CT扫描,主要图像如下,
- 1、为明确病情,请问患者应优先选择哪种常
- 1、请问该病例影像诊断思路是什么?2、请
- 1、请问该病的影像学表现是什么?2、请问
- 1、CT检查如下图,请问拟诊断为什么?
- 1、请问该患者临床拟诊断为什么病?2、请
- 1、对于此患者,请问应考虑的诊断是什么?