试题详情
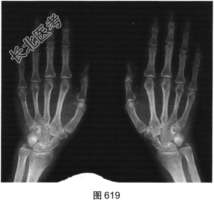
- [材料题] 患者女性,43岁,双手晨僵2年余,关节肿胀4个月余。
- 简答题1、为明确诊断,请问需要做哪些检查?
关注下方微信公众号,搜题查看答案

- 简答题2、患者行双手X线及MRI检查,见图619~图622。请问X线平片及MRI图像有哪些阳性表现?

关注下方微信公众号,搜题查看答案

- 简答题3、该患者类风湿因子阳性,抗“O”轻度增高,红细胞沉降率为25mm/h。请问该患者最可能的诊断是什么?
关注下方微信公众号,搜题查看答案

- 简答题4、请问本病的诊断依据是什么?
关注下方微信公众号,搜题查看答案

热门试题
- 1、请问该病例影像诊断思路是什么?2、请
- 1、请问患者入院后应先选择哪些常规检查?
- 1、患者最可能的诊断是?2、[提示]患者
- 1、若病人有明确的外伤史1周,出现局部红
- 1、为了明确诊断,请问需要做哪些检查?2
- 1、为明确病情,请问患者应优先选择哪种常
- 1、脑脊液检查结果如何支持化脓性脑膜炎的
- 1、患者可诊断为?2、患者优先选择的检查
- 1、影像诊断思路是什么?2、诊断要点与鉴
- 1、请问患者诊断是什么?2、请问诊断依据
- 1、为明确诊断,请问需要做哪些检查?2、
- 1、该患者的影像诊断是什么?2、胸腺瘤临
- 1、请问该患者的影像诊断是什么?2、该病
- 1、请问诊断是什么?2、诊断依据是什么?
- 1、请对该病的MRI进行描述。2、根据该
- 1、从题干临床表现看,应首先考虑哪种疾病
- 1、请问该病例诊断是什么?2、请问该患儿
- 1、请问该患者最有可能的诊断是什么?2、
- 1、请问患者应该考虑到是什么疾病?2、若
- 1、请问最可能的诊断是?2、为进一步确诊