试题详情
- [材料题] 患者女性,70岁。因“咳嗽、痰中带血3个月余”就诊。听诊无异常发现。胸部正侧位片发现右肺上叶类圆形小结节。
- 简答题1、为明确病情,请问患者应优先选择哪种常规检查?
关注下方微信公众号,搜题查看答案

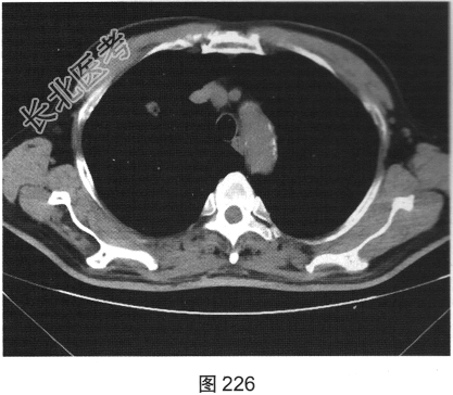
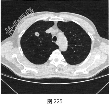
- 简答题2、患者行胸部CT检查,如图225、图226所示。请问该患者CT图像可见什么阳性表现?

关注下方微信公众号,搜题查看答案

- 简答题3、请问该患者最有可能的诊断是什么?
关注下方微信公众号,搜题查看答案

- 简答题4、为了进一步确诊,请问需要做哪些检查?
关注下方微信公众号,搜题查看答案

- 简答题5、如果一旦确诊,请问有什么治疗计划?
关注下方微信公众号,搜题查看答案

热门试题
- 1、初步诊断为何病?2、AS的诊断依据是
- 1、为明确诊断,请问需要做哪些检查?2、
- 1、请问该病例影像学首先应做哪些检查?2
- 1、影像诊断思路是什么?2、诊断要点与鉴
- 1、请问该病例最可能的诊断是什么?2、为
- 1、该患者的影像诊断是什么?2、甲状腺癌
- 1、请问该病例诊断是什么?2、请问诊断依
- 1、患者可诊断为?2、患者优先选择的检查
- 1、请问患者应该考虑到是什么疾病?2、若
- 1、CT检查如下图,拟诊断为?
- 1、对于此患者,请问应考虑的诊断是什么?
- 1、请问目前患者的诊断主要考虑什么?2、
- 1、请问该病历最可能的诊断是什么?2、请
- 1、CT检查如下图,请问拟诊断为什么?
- 1、从题干临床表现看,应首先考虑哪种疾病
- 1、该患者的诊断是什么?2、胆囊癌的高危
- 1、影像诊断思路是什么?2、诊断要点与鉴
- 1、结合CT检查,最可能的诊断是?2、椎
- 1、请问此病例最可能诊断的是什么?2、该
- 1、请问该患者的影像诊断是什么?2、请问