试题详情
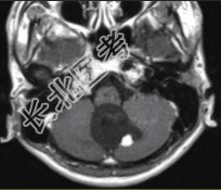
- [材料题] 男性,20岁。恶心、呕吐3d,剧烈头痛加重1d入院。MRI显示小脑下蚓部长T₁、长T₂信号影,病变可见结节状明显强化,如下图。

- 简答题1、请问该患者可能的诊断是什么?
关注下方微信公众号,搜题查看答案

- 简答题2、请问该病与VHL的关系是什么?
关注下方微信公众号,搜题查看答案

热门试题
- 1、影像诊断思路是什么?2、诊断要点与鉴
- 1、请问该患者临床拟诊断为什么病?2、请
- 1、根据MRI表现,可能的诊断是?2、[
- 1、请问最可能的诊断是?2、为进一步确诊
- 1、该患者的诊断是什么?2、前列腺增生临
- 1、该患者的影像诊断是什么?2、甲状腺癌
- 1、若病人有明确的外伤史1周,出现局部红
- 1、请问你认为应做哪些检查?2、患者所做
- 1、请问该患儿诊断是什么?2、请问诊断依
- 1、该患者的诊断是什么?2、胆囊癌的高危
- 1、为了明确诊断,请问需要做哪些检查?2
- 1、该病例首先诊断为:2、黄色肉芽肿性肾
- 1、该患者的诊断是什么?2、诊断依据有哪
- 1、脑脊液检查结果如何支持化脓性脑膜炎的
- 1、请问关于该病变,首选的检查方法是什么
- 1、请问特发性肺间质纤维化临床特点是什么
- 1、请问该患者应首先考虑的诊断是什么?2
- 1、请问该病例最可能的诊断是?2、为了排
- 1、结合CT检查,最可能的诊断是?2、椎
- 1、最可能的诊断是?2、室间隔缺损临床表