试题详情
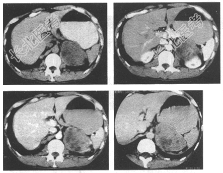
- [材料题] 患者,男,43岁。体检发现左肾上腺肿物4天。患者4天前B超发现左中上腹肿物,边界尚清,形态欠规则,不伴头痛、头晕,不伴心悸、视物模糊。查体:BP 111/66mmHg。
- 简答题1、CT检查如下图,请问拟诊断为什么?

关注下方微信公众号,搜题查看答案

- 简答题2、为确诊该病,请问需要做哪些检查?
关注下方微信公众号,搜题查看答案

- 简答题3、请问该病有哪些表现?
关注下方微信公众号,搜题查看答案

- 简答题4、请问该病有哪些治疗措施?
关注下方微信公众号,搜题查看答案

热门试题
- 1、请问该病例诊断是什么?2、请问诊断依
- 1、请问该病的影像学表现是什么?2、请问
- 1、请问关于该病变,首选的检查方法是什么
- 1、该患者最有可能的诊断是?2、表皮样囊
- 1、请问该患者的影像诊断是什么?2、请问
- 1、影像诊断思路是什么?2、诊断要点与鉴
- 1、影像诊断思路是什么?2、诊断要点与鉴
- 1、首先要考虑的疾病是?2、子宫肌瘤的病
- 1、CT检查如下图,请问拟诊断为什么?
- 1、根据MRI表现,可能的诊断是?2、[
- 1、对于此患者,请问应考虑的诊断是什么?
- 1、请问该病例诊断是什么?2、请问诊断依
- 1、请问可能诊断的疾病有哪些?2、囊性肿
- 1、请问该患者可能的诊断是什么?2、请问
- 1、请对该患者影像征象进行描述。2、根据
- 1、请问该病例最可能的诊断是什么?2、为
- 1、最可能的诊断是?2、室间隔缺损临床表
- 1、CT检查如下图,请问拟诊断为什么?
- 1、请问该患者最有可能的诊断是什么?2、
- 1、请问该患者应首先考虑的诊断是什么?2