试题详情
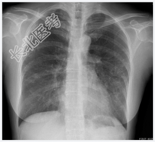
- [材料题] 患者,女性,28岁,咯血2天入院,半年前曾咯血一次。查体:双肺呼吸音粗,左下肺可闻及少许湿啰音。心脏体查无异常。做胸部X光平片检查。

- 简答题1、请问该患者诊断是什么?
关注下方微信公众号,搜题查看答案

- 简答题2、诊断依据是什么?
关注下方微信公众号,搜题查看答案

- 简答题3、鉴别诊断有那些?
关注下方微信公众号,搜题查看答案

热门试题
- 1、请问该患者CT表现是什么?2、请问最
- 1、影像诊断思路是什么?2、诊断要点与鉴
- 1、请问患者应该考虑到是什么疾病?2、若
- 1、请问诊断是什么?2、诊断依据是什么?
- 1、诊断是什么?2、心包积液的常见原因有
- 1、请问患者入院后应先选择哪些常规检查?
- 1、请问病毒性脑炎临床表现有哪些?2、请
- 1、根据病史及影像资料,首先考虑为?2、
- 1、患者最可能的诊断是?2、提示]患者入
- 1、请问可能诊断的疾病有哪些?2、囊性肿
- 1、请问该患者的诊断是什么?2、请问该病
- 1、最可能的诊断是?2、该病例主要的病变
- 1、请问该患者首选的诊断是什么?2、为进
- 1、结合CR和MR,最可能的诊断是?2、
- 1、图中钙化应考虑为?本病应诊断为?2、
- 1、影像诊断思路是什么?2、诊断要点与鉴
- 1、首先要考虑的疾病是?2、子宫肌瘤的病
- 1、请问该病例影像学首先应做哪些检查?2
- 1、CT检查如下图,请问拟诊断为什么?
- 1、请问诊断是什么?2、诊断依据是什么?