试题详情
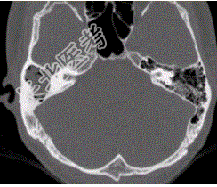
- [材料题] 患者男,25岁,右耳流脓液、听力下降5年。查体:右侧鼓膜穿孔,传导性耳聋,CT检查如下图。

- 简答题1、请问该患者临床拟诊断为什么病?
关注下方微信公众号,搜题查看答案

- 简答题2、请问慢性中耳炎引起颅内感染,累及多为哪个部位?
关注下方微信公众号,搜题查看答案

- 简答题3、请问慢性中耳乳突炎的并发症有哪些?
关注下方微信公众号,搜题查看答案

- 简答题4、请描述一下慢性中耳炎与胆脂瘤的关系。
关注下方微信公众号,搜题查看答案

- 简答题5、请问胆脂瘤型中耳乳突炎多发于哪种乳突?
关注下方微信公众号,搜题查看答案

热门试题
- 1、请问关于该病变,首选的检查方法是什么
- 1、请问该病的影像学表现是什么?2、请问
- 1、该病例首先诊断为:2、黄色肉芽肿性肾
- 1、该患者的影像诊断是什么?2、胆脂瘤临
- 1、该患者的影像诊断是什么?2、甲状腺癌
- 1、请问影像诊断思路是什么?2、请问诊断
- 1、首先要考虑的疾病是?2、子宫肌瘤的病
- 1、为了明确诊断,请问需要做哪些检查?2
- 1、最可能的诊断是?2、为什么患者会有长
- 1、请问该患者最可能的诊断是什么?2、请
- 1、请对该病的MRI进行描述。2、根据该
- 1、请问患者入院后可以选择的哪些相关影像
- 1、请问特发性肺间质纤维化临床特点是什么
- 1、根据MRI表现,可能的诊断是?2、[
- 1、请问你认为该患者进一步的诊治方案是什
- 1、患者可诊断为?2、患者优先选择的检查
- 1、请问该患者首选的诊断是什么?2、为进
- 1、结直肠癌临床特点是什么?2、如何有效
- 1、CT检查如下图,请问拟诊断为什么?
- 1、影像诊断思路是什么?2、诊断要点与鉴