试题详情
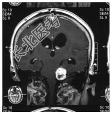
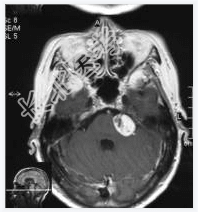
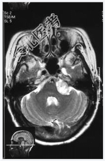
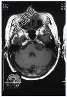
- [材料题] 患者,女性,71岁,因耳鸣、双下肢乏力4~5月,进行性发展入院。体检:左耳听力下降,行走碎步,四肢肌力Ⅴ级,肌张力略高。临床诊断:帕金森综合征。做头颅MRI检查。

- 简答题1、请问该病例诊断是什么?
关注下方微信公众号,搜题查看答案

- 简答题2、请问诊断依据是什么?
关注下方微信公众号,搜题查看答案

- 简答题3、请问鉴别诊断有哪些?
关注下方微信公众号,搜题查看答案

- 简答题4、左听神经鞘瘤的典型症状是什么,以及它是如何影响患者的听力和平衡功能的?
关注下方微信公众号,搜题查看答案

- 简答题5、左听神经鞘瘤治疗措施有哪些?
关注下方微信公众号,搜题查看答案

热门试题
- 1、胃溃疡临床特点是什么?2、胃溃疡的常
- 1、根据上述病史,请问首先考虑何种疾病?
- 1、为了明确病情,请问患者应优先选择哪些
- 1、该病最可能的诊断是?2、类风湿关节炎
- 1、请叙述卵巢癌临床症状和该影像学表现?
- 1、请对该患者影像征象进行描述。2、根据
- 1、诊断是什么?2、心包积液的常见原因有
- 1、该患者诊断为?2、请问咽腔可以划分几
- 1、影像诊断思路是什么?2、诊断要点与鉴
- 1、该病例可能的诊断是什么?2、CT检查
- 1、请问最可能的诊断是?2、为进一步确诊
- 1、请问该病例诊断是什么?2、请问诊断依
- 1、请问该患者的诊断是什么?2、请问该病
- 1、患者已行颈部CT扫描,主要图像如下,
- 1、请问该案例诊断是什么?2、请问诊断依
- 1、请问该患者可能的诊断是什么?2、请问
- 1、请问该患者最可能的诊断是什么?2、请
- 1、请问该患者诊断是什么?2、请问鉴别诊
- 1、对于此患者,请问应考虑的诊断是什么?
- 1、最可能的诊断是?2、该病例主要的病变