试题详情
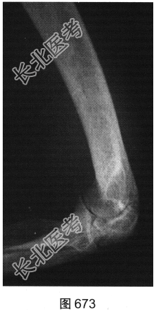
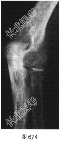
- [材料题] 患者女性,62岁,右侧肘关节肿胀、疼痛1年余。肘关节正侧位X线片及CT检查见图673~图676。

- 简答题1、请对该患者影像征象进行描述。
关注下方微信公众号,搜题查看答案

- 简答题2、根据题干中患者的临床表现及影像特征,请问该患者应首先考虑哪种疾病?
关注下方微信公众号,搜题查看答案

- 简答题3、请问有助于本病明确诊断的检查有哪些?
关注下方微信公众号,搜题查看答案

- 简答题4、请分别从病因、临床表现和治疗方法上,描述关节结核和化脓性关节炎。
关注下方微信公众号,搜题查看答案

热门试题
- 1、诊断是什么?2、心包积液的常见原因有
- 1、请问可能诊断的是?2、为进一步明确诊
- 1、影像诊断思路是什么?2、诊断要点与鉴
- 1、该患者最有可能的诊断是?2、表皮样囊
- 1、请问关于该病变,首选的检查方法是什么
- 1、根据MRI表现,可能的诊断是?2、[
- 1、该患者的诊断是什么?2、诊断依据有哪
- 1、患者最可能的诊断是?2、[提示]患者
- 1、最可能的诊断是?2、为什么患者会有长
- 1、请问该患者可能的诊断是什么?2、请问
- 1、请问该患者最有可能的诊断是什么?2、
- 1、该患者的诊断是什么?2、前列腺增生临
- 1、根据上述病史,请问首先考虑何种疾病?
- 1、请问该病例最可能的诊断是什么?2、为
- 1、请叙述卵巢癌临床症状和该影像学表现?
- 1、结合CR和MR,最可能的诊断是?2、
- 1、该患者诊断为?2、请问咽腔可以划分几
- 1、请问该患者诊断应该是什么?2、请问该
- 1、若病人有明确的外伤史1周,出现局部红
- 1、请问患者入院后应先选择哪些常规检查?