试题详情
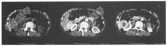
- [材料题] 患者,男,65岁。全程无痛性血尿半年,不伴尿急、尿痛;半年反复肉眼血尿,尿常规示:红细胞4~5/HP,白细胞0~2/HP,蛋白(+),查体:双肾区叩击痛阴性,尿道未见异常。
- 简答题1、该病例可能的诊断是什么?
关注下方微信公众号,搜题查看答案

- 简答题2、CT检查所示如下图,诊断为?

关注下方微信公众号,搜题查看答案

- 简答题3、肾癌的早期诊断方法有哪些?
关注下方微信公众号,搜题查看答案

- 简答题4、肾癌的危险因素有哪些?
关注下方微信公众号,搜题查看答案

- 简答题5、肾癌的治疗方案通常包括哪些方面?
关注下方微信公众号,搜题查看答案

热门试题
- 1、根据症状分析,请问首选的影像学检查是
- 1、请问该病例诊断是什么?2、请问该患儿
- 1、该患者的影像诊断是什么?2、胸腺瘤临
- 1、请问该患者最可能的诊断是什么?2、请
- 1、请对该患者影像征象进行描述。2、根据
- 1、为了明确病情,请问患者应优先选择哪些
- 1、请问该患者可能诊断的疾病为?2、请问
- 1、影像诊断思路是什么?2、诊断要点与鉴
- 1、CT检查如下图,请问拟诊断为什么?
- 1、请问该病的影像学表现是什么?2、请问
- 1、请问该患儿诊断是什么?2、请问诊断依
- 1、请问该病例影像学首先应做哪些检查?2
- 1、请问肥厚型心肌病的临床表现有哪些?2
- 1、请问该患者最有可能的诊断是什么?2、
- 1、该病最可能的诊断是?2、类风湿关节炎
- 1、本病最可能诊断为?2、请问诊断依据是
- 1、请问该病历最可能的诊断是什么?2、请
- 1、CT检查如下图,拟诊断为?
- 1、请问该患者诊断是什么?2、诊断依据是
- 1、最可能的诊断是?2、该病例主要的病变