试题详情
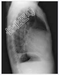
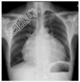
- [材料题] 患者,男性,51岁,腹胀1月余入院。查体:腹围增大,移动性浊音阳性。心界扩大,心音遥远。行胸部平片检查。

- 简答题1、诊断是什么?
关注下方微信公众号,搜题查看答案

- 简答题2、心包积液的常见原因有哪些?
关注下方微信公众号,搜题查看答案

- 简答题3、心包积液的典型临床表现是什么?
关注下方微信公众号,搜题查看答案

热门试题
- 1、图中钙化应考虑为?本病应诊断为?2、
- 1、初步诊断为何病?2、AS的诊断依据是
- 1、脉络丛肿瘤临床表现有?2、脉络丛肿瘤
- 1、请问该患者最有可能的诊断是什么?2、
- 1、患者最可能的诊断是?2、[提示]患者
- 1、请问该病历最可能的诊断是什么?2、请
- 1、该患者诊断为?2、请问咽腔可以划分几
- 1、请问该病例影像学首先应做哪些检查?2
- 1、该患者的诊断是什么?2、诊断依据有哪
- 1、该病例可能的诊断是什么?2、CT检查
- 1、该患者最有可能的诊断是?2、表皮样囊
- 1、请对该病的MRI进行描述。2、根据该
- 1、该患者的影像诊断是什么?2、胸腺瘤临
- 1、请问该案例诊断是什么?2、请问诊断依
- 1、请问该患者最可能的诊断是什么?2、请
- 1、影像诊断思路是什么?2、诊断要点与鉴
- 1、请对该患者影像征象进行描述。2、根据
- 1、请问目前患者的诊断主要考虑什么?2、
- 1、该病最可能的诊断是?2、类风湿关节炎
- 1、请问患者入院后应先选择哪些常规检查?