试题详情
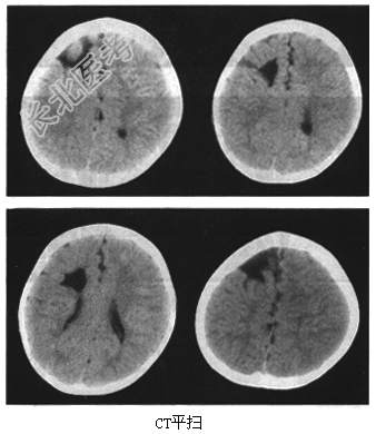
- [材料题] 患者,女,8岁。因为癫痫、智力低下来院检查,影像学检查如下图。

- 简答题1、请问该患者的诊断是什么?
关注下方微信公众号,搜题查看答案

- 简答题2、请问该病常见的临床表现是什么?
关注下方微信公众号,搜题查看答案

- 简答题3、请问本病的特点是什么?
关注下方微信公众号,搜题查看答案

热门试题
- 1、请问该患者CT表现是什么?2、请问最
- 1、请问该患儿诊断是什么?2、请问诊断依
- 1、请问该患者应首先考虑的诊断是什么?2
- 1、请问患者入院后应先选择哪些常规检查?
- 1、请叙述卵巢癌临床症状和该影像学表现?
- 1、患者已行颈部CT扫描,主要图像如下,
- 1、请问该病的影像学表现是什么?2、请问
- 1、请问该患者可能诊断的疾病为?2、请问
- 1、患者最可能的诊断是?2、提示]患者入
- 1、为明确病情,请问患者应优先选择哪种常
- 1、从题干临床表现看,应首先考虑哪种疾病
- 1、CT检查如下图,拟诊断为?
- 1、影像诊断思路是什么?2、诊断要点与鉴
- 1、影像诊断思路是什么?2、诊断要点与鉴
- 1、最可能的诊断是?2、室间隔缺损临床表
- 1、请问影像诊断思路是什么?2、请问诊断
- 1、请问该病历最可能的诊断是什么?2、请
- 1、请问该病例首选诊断的疾病是什么?2、
- 1、本病例最可能的诊断是?2、食管癌的影
- 1、硬膜下血肿临床表现有哪些?2、硬膜下