试题详情
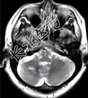
- [材料题] 患者女,41岁。头痛半年,加重10d。头部MRI显示如下图。

- 简答题1、请对该病的MRI进行描述。
关注下方微信公众号,搜题查看答案

- 简答题2、根据该病的影像学表现,该患者可能的诊断是什么?
关注下方微信公众号,搜题查看答案

- 简答题3、为进一步确定诊断,请问下一步的影像学检查是什么?
关注下方微信公众号,搜题查看答案

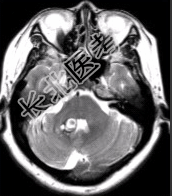
- 简答题4、MR增强检查如下图。请问最可能的诊断是什么?

关注下方微信公众号,搜题查看答案

热门试题
- 1、该患者的诊断是什么?2、胆囊癌的高危
- 1、请问该患者的影像诊断是什么?2、请问
- 1、影像诊断思路是什么?2、诊断要点与鉴
- 1、请问你认为应做哪些检查?2、患者所做
- 1、请问该患者可能的诊断是什么?2、请问
- 1、结合CR和MR,最可能的诊断是?2、
- 1、请问该患者诊断是什么?2、诊断依据是
- 1、请问肥厚型心肌病的临床表现有哪些?2
- 1、请问该患者首选的诊断是什么?2、为进
- 1、请问可能诊断的是?2、为进一步明确诊
- 1、关于该病变,首选的检查方法是?2、提
- 1、最可能的诊断是?2、室间隔缺损临床表
- 1、CT检查如下图,拟诊断为?
- 1、影像诊断思路是什么?2、诊断要点与鉴
- 1、请问该患者最可能的诊断是什么?2、请
- 1、该患者最有可能的诊断是?2、表皮样囊
- 1、请问该患者入院后首先要做哪项常规检查
- 1、为明确诊断,请问需要做哪些检查?2、
- 1、请对该患者影像征象进行描述。2、根据
- 1、影像诊断思路是什么?2、诊断要点与鉴