试题详情
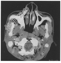
- [材料题] 患者,男,48岁。主诉为鼻塞、头痛3个月余,3个月前始出现鼻塞、流涕,偶有涕中带血,并伴有头痛,呈阵发性,既往体健,否认高血压、心脏病病史。实验室检查未见明显异常。
- 简答题1、请问你认为应做哪些检查?
关注下方微信公众号,搜题查看答案

- 简答题2、患者所做检查如图,请问你诊断为何种疾病?

关注下方微信公众号,搜题查看答案

- 简答题3、参考CT图像你的诊断依据是什么?

关注下方微信公众号,搜题查看答案

- 简答题4、请问本病最好发生在哪些部位?
关注下方微信公众号,搜题查看答案

- 简答题5、请问该病最常见的转移有哪些?
关注下方微信公众号,搜题查看答案

- 简答题6、对于该病的治疗策略主要包括哪些方面?
关注下方微信公众号,搜题查看答案

热门试题
- 1、请问该病历最可能的诊断是什么?2、请
- 1、根据上述病史,请问首先考虑何种疾病?
- 1、患者可诊断为?2、患者优先选择的检查
- 1、针对上述病例,请问哪种疾病可能性最大
- 1、最可能的诊断是?2、为什么患者会有长
- 1、关于该病变,首选的检查方法是?2、提
- 1、请问该患者临床拟诊断为什么病?2、请
- 1、最可能的诊断是?2、室间隔缺损临床表
- 1、请问本患者的常规检查应包括哪些?2、
- 1、请问该患者诊断是什么?2、请问鉴别诊
- 1、请问该患者最有可能的诊断是什么?2、
- 1、患者最可能的诊断是?2、提示]患者入
- 1、请问患者诊断是什么?2、请问诊断依据
- 1、请问你认为最可能的诊断是什么?2、请
- 1、该患者的诊断是什么?2、前列腺增生临
- 1、该患者的诊断是什么?2、诊断依据有哪
- 1、请问患者入院后应先选择哪些常规检查?
- 1、请问此病例最可能诊断的是什么?2、该
- 1、请问该患者的影像诊断是什么?2、请问
- 1、请问该患者最可能的诊断是什么?2、请