试题详情
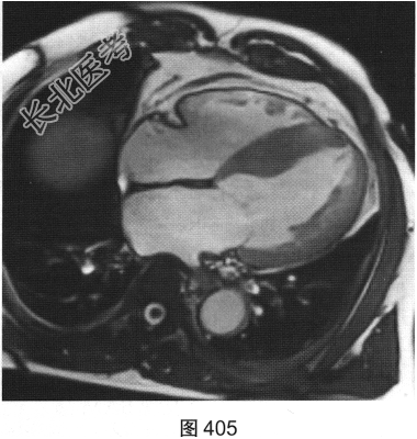
- [材料题] 患者男性,43岁,因“活动后胸痛3年”,外地医院拟诊梗阻性肥厚型心肌病,为明确诊断而转诊本院。
- 简答题1、请问肥厚型心肌病的临床表现有哪些?
关注下方微信公众号,搜题查看答案

- 简答题2、请问该病首选的影像学检查方法是?
关注下方微信公众号,搜题查看答案

- 简答题3、患者超声心动图检查未能明确诊断,临床申请心脏磁共振检查,如图404~图408所示。患者心脏磁共振检查的异常征象有?

关注下方微信公众号,搜题查看答案

- 简答题4、梗阻性肥厚型心肌病的临床表现哪些?
关注下方微信公众号,搜题查看答案

热门试题
- 1、根据症状分析,请问首选的影像学检查是
- 1、应首先考虑的诊断是?2、多发骨髓瘤的
- 1、诊断是什么?2、心包积液的常见原因有
- 1、请问患者应该考虑到是什么疾病?2、若
- 1、该患者的诊断是什么?2、请问诊断依据
- 1、请问该病历最可能的诊断是什么?2、请
- 1、请问该病例诊断是什么?2、请问该患儿
- 1、影像诊断思路是什么?2、诊断要点与鉴
- 1、请问诊断是什么?2、诊断依据是什么?
- 1、硬膜下血肿临床表现有哪些?2、硬膜下
- 1、请问该病例最可能的诊断是什么?2、为
- 1、请问该病例影像诊断思路是什么?2、请
- 1、请对该患者影像征象进行描述。2、根据
- 1、该病例可能的诊断是什么?2、CT检查
- 1、请问针对该病患最准确的诊断是什么?2
- 1、CT检查如下图,拟诊断为?
- 1、该患者的影像诊断是什么?2、胸腺瘤临
- 1、请问此病例最可能诊断的是什么?2、该
- 1、请问患者入院后可以选择的哪些相关影像
- 1、请问该患者的影像诊断是什么?2、该病