试题详情
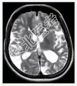
- [材料题] 女性,22岁。癫痫发作及智力异常。MRI显示见下图。

- 简答题1、请问可能诊断的是?
关注下方微信公众号,搜题查看答案

- 简答题2、为进一步明确诊断,下一步的影像学检查应首选?
关注下方微信公众号,搜题查看答案

- 简答题3、关于该病,最可能的原因是?
关注下方微信公众号,搜题查看答案

- 简答题4、请对烟雾病进行描述。
关注下方微信公众号,搜题查看答案

热门试题
- 1、请问该患者可能的诊断是什么?2、请问
- 1、该患者诊断为?2、请问咽腔可以划分几
- 1、胃溃疡临床特点是什么?2、胃溃疡的常
- 1、请问该患者可能的诊断是什么?2、请问
- 1、CT检查如下图,请问拟诊断为什么?
- 1、该患者的诊断是什么?2、肝脓肿的常见
- 1、请问该患者的影像诊断是什么?2、请问
- 1、请问该病的影像学表现是什么?2、请问
- 1、本病最可能诊断为?2、请问诊断依据是
- 1、患者最可能的诊断是?2、[提示]患者
- 1、应首先考虑的诊断是?2、多发骨髓瘤的
- 1、请问该患者应首先考虑的诊断是什么?2
- 1、为明确诊断,请问需要做哪些检查?2、
- 1、最可能的诊断是?2、该病例主要的病变
- 1、请问可能诊断的是?2、为进一步明确诊
- 1、患者已行颈部CT扫描,主要图像如下,
- 1、请问该患者的诊断是什么?2、请问该病
- 1、本病例最可能的诊断是?2、食管癌的影
- 1、请问该患者临床拟诊断为什么病?2、请
- 1、请问该病诊断是什么?2、膀胱结石的主