试题详情
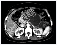
- [材料题] 患者,女性,31岁,反复上腹部疼痛1年,加重1天入院。B超示胰腺体尾部囊性病变,性质待定。行上腹部CT增强扫描。

- 简答题1、请问该患者诊断是什么?
关注下方微信公众号,搜题查看答案

- 简答题2、诊断依据是什么?
关注下方微信公众号,搜题查看答案

- 简答题3、鉴别诊断有哪些?
关注下方微信公众号,搜题查看答案

热门试题
- 1、该病最可能的诊断是?2、类风湿关节炎
- 1、影像诊断思路是什么?2、诊断要点与鉴
- 1、请问该患者入院后首先要做哪项常规检查
- 1、请问可能诊断的是?2、为进一步明确诊
- 1、最可能的诊断是?2、该病例主要的病变
- 1、为明确病情,请问患者应优先选择哪种常
- 1、影像诊断思路是什么?2、诊断要点与鉴
- 1、首先要考虑的疾病是?2、子宫肌瘤的病
- 1、前列腺癌临床表现?2、前列腺癌的危险
- 1、影像诊断思路是什么?2、诊断要点与鉴
- 1、结合CR和MR,最可能的诊断是?2、
- 1、请问患者入院后应先选择哪些常规检查?
- 1、请问肥厚型心肌病的临床表现有哪些?2
- 1、请对该病变CT影像表现进行描述。2、
- 1、请问该患者诊断是什么?2、诊断依据是
- 1、CT检查如下图,拟诊断为?
- 1、该患者的诊断是什么?2、请问诊断依据
- 1、请问该患者可能诊断的疾病为?2、请问
- 1、该患者最有可能的诊断是?2、表皮样囊
- 1、患者可诊断为?2、患者优先选择的检查