试题详情
- [材料题] 患者男性,30岁。受凉后出现寒战、高热、咳嗽1天来医院就诊,听诊右上肺呼吸音减低。
- 简答题1、为了明确病情,请问患者应优先选择哪些影像学检查?
关注下方微信公众号,搜题查看答案

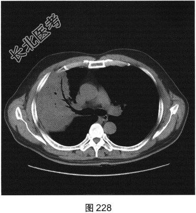
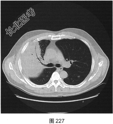
- 简答题2、患者行胸部CT检查,如图227、图228所示。请问患者胸部CT可见哪些影像学表现?

关注下方微信公众号,搜题查看答案

- 简答题3、请问患者最可能的影像学诊断是什么?
关注下方微信公众号,搜题查看答案

- 简答题4、请问该病最可能出现的征象是什么?
关注下方微信公众号,搜题查看答案

热门试题
- 1、应首先考虑的诊断是?2、多发骨髓瘤的
- 1、请问该病的影像学表现是什么?2、请问
- 1、请问该病例影像诊断思路是什么?2、请
- 1、请问患者应该考虑到是什么疾病?2、若
- 1、该病例首先诊断为:2、黄色肉芽肿性肾
- 1、诊断是什么?2、心包积液的常见原因有
- 1、该患者的诊断是什么?2、前列腺增生临
- 1、影像诊断思路是什么?2、诊断要点与鉴
- 1、请问患者入院后应先选择哪些常规检查?
- 1、影像诊断思路是什么?2、诊断要点与鉴
- 1、本病例最可能的诊断是?2、食管癌的影
- 1、请问该病例最可能的诊断是什么?2、为
- 1、请问可能诊断的疾病有哪些?2、囊性肿
- 1、若病人有明确的外伤史1周,出现局部红
- 1、影像诊断思路是什么?2、诊断要点与鉴
- 1、请问该患者最可能的诊断是什么?2、请
- 1、从题干临床表现看,应首先考虑哪种疾病
- 1、该患者的诊断是什么?2、胆囊癌的高危
- 1、请问该病历最可能的诊断是什么?2、请
- 1、该患者最有可能的诊断是?2、表皮样囊