试题详情
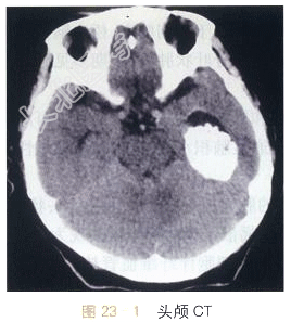
- [材料题] 女,53岁,头痛20天。影像学资料如图23-1~图23-4所示。
读片分析:头颅CT平扫显示左侧侧脑室颞角扩大,内可见不规则形高密度影;MRI检查横断面T₂WI示第三脑室内不规则形异常软组织肿块影,T₂WI等高信号,信号混杂不均,边界尚清晰;DWI呈等信号;增强扫描肿块明显强化,表面呈颗粒状。
- 简答题1、脉络丛肿瘤临床表现有?
关注下方微信公众号,搜题查看答案

- 简答题2、脉络丛肿瘤的诊断方法主要有哪些?
关注下方微信公众号,搜题查看答案

- 简答题3、脉络丛肿瘤治疗措施有哪些?
关注下方微信公众号,搜题查看答案

热门试题
- 1、结合CT检查,最可能的诊断是?2、椎
- 1、请问该患者最有可能的诊断是什么?2、
- 1、请问该患者诊断是什么?2、诊断依据是
- 1、请问你认为应做哪些检查?2、患者所做
- 1、CT检查如下图,拟诊断为?
- 1、该患者的诊断是什么?2、诊断依据有哪
- 1、最可能的诊断是?2、为什么患者会有长
- 1、请问该病例诊断是什么?2、请问该患儿
- 1、患者可诊断为?2、患者优先选择的检查
- 1、影像诊断思路是什么?2、诊断要点与鉴
- 1、请问该病例首选诊断的疾病是什么?2、
- 1、请问该病例诊断是什么?2、请问诊断依
- 1、该患者的诊断是什么?2、肝脓肿的常见
- 1、请问该患者的诊断是什么?2、请问该病
- 1、请问该病例最可能的诊断是什么?2、为
- 1、脉络丛肿瘤临床表现有?2、脉络丛肿瘤
- 1、请对该病变CT影像表现进行描述。2、
- 1、请问该患者的影像诊断是什么?2、请问
- 1、针对上述病例,请问哪种疾病可能性最大
- 1、脑脊液检查结果如何支持化脓性脑膜炎的