试题详情
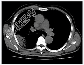
- [材料题] 患者,男性,47岁。发热,咳嗽,右胸痛3天入院。查体.体温,38℃。右上肺呼吸音减低,叩诊实音。心脏无异常。行胸部CT平扫。

- 简答题1、请问该病例诊断是什么?
关注下方微信公众号,搜题查看答案

- 简答题2、请问诊断依据是什么?
关注下方微信公众号,搜题查看答案

- 简答题3、鉴别诊断有哪些?
关注下方微信公众号,搜题查看答案

热门试题
- 1、患者最可能的诊断是?2、提示]患者入
- 1、影像诊断思路是什么?2、诊断要点与鉴
- 1、请问你认为最可能的诊断是什么?2、请
- 1、请问该病例首选诊断的疾病是什么?2、
- 1、影像诊断思路是什么?2、诊断要点与鉴
- 1、脑脊液检查结果如何支持化脓性脑膜炎的
- 1、请问特发性肺间质纤维化临床特点是什么
- 1、影像诊断思路是什么?2、诊断要点与鉴
- 1、请问病毒性脑炎临床表现有哪些?2、请
- 1、该患者的影像诊断是什么?2、甲状腺癌
- 1、请问患者入院后应先选择哪些常规检查?
- 1、请问该病例最可能的诊断是?2、为了排
- 1、根据上述病史,请问首先考虑何种疾病?
- 1、请问肥厚型心肌病的临床表现有哪些?2
- 1、结合CR和MR,最可能的诊断是?2、
- 1、患者最可能的诊断是?2、[提示]患者
- 1、该病例可能的诊断是什么?2、CT检查
- 1、请问该患者的诊断是什么?2、请问该病
- 1、关于该病变,首选的检查方法是?2、提
- 1、请问该患者的影像诊断是什么?2、请问