试题详情
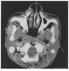
- [材料题] 患者,男,48岁。主诉为鼻塞、头痛3个月余,3个月前始出现鼻塞、流涕,偶有涕中带血,并伴有头痛,呈阵发性,既往体健,否认高血压、心脏病病史。实验室检查未见明显异常。
- 简答题1、请问你认为应做哪些检查?
关注下方微信公众号,搜题查看答案

- 简答题2、患者所做检查如图,请问你诊断为何种疾病?

关注下方微信公众号,搜题查看答案

- 简答题3、参考CT图像你的诊断依据是什么?

关注下方微信公众号,搜题查看答案

- 简答题4、请问本病最好发生在哪些部位?
关注下方微信公众号,搜题查看答案

- 简答题5、请问该病最常见的转移有哪些?
关注下方微信公众号,搜题查看答案

- 简答题6、对于该病的治疗策略主要包括哪些方面?
关注下方微信公众号,搜题查看答案

热门试题
- 1、结合CT检查,最可能的诊断是?2、椎
- 1、请问诊断是什么?2、诊断依据是什么?
- 1、该患者的诊断是什么?2、胆囊癌的高危
- 1、本病例最可能的诊断是?2、食管癌的影
- 1、影像诊断思路是什么?2、诊断要点与鉴
- 1、请问该患者诊断是什么?2、请问鉴别诊
- 1、请问该病例诊断是什么?2、请问诊断依
- 1、请问你认为该患者进一步的诊治方案是什
- 1、请问该案例诊断是什么?2、请问诊断依
- 1、请问该患者诊断是什么?2、诊断依据是
- 1、请问该患儿诊断是什么?2、请问诊断依
- 1、为了明确病情,请问患者应优先选择哪些
- 1、请问该患者入院后首先要做哪项常规检查
- 1、请问本患者的常规检查应包括哪些?2、
- 1、本病最可能诊断为?2、请问诊断依据是
- 1、请问该病例诊断是什么?2、请问诊断依
- 1、请问该病例诊断是什么?2、请问诊断依
- 1、请问该病例影像学首先应做哪些检查?2
- 1、胃溃疡临床特点是什么?2、胃溃疡的常
- 1、请问此病例最可能诊断的是什么?2、该