试题详情
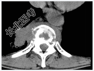
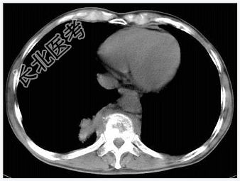
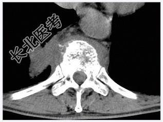
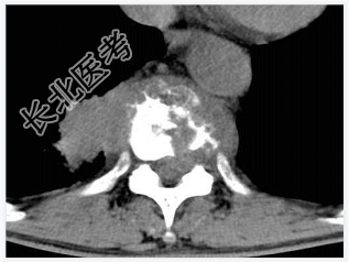
- [材料题] 男,32岁,低热、腰背痛,活动受限。

- 简答题1、结合CT检查,最可能的诊断是?
关注下方微信公众号,搜题查看答案

- 简答题2、椎体结核的典型症状是什么?
关注下方微信公众号,搜题查看答案

- 简答题3、椎体结核的诊断方法有哪些?
关注下方微信公众号,搜题查看答案

- 简答题4、椎体结核的治疗原则是什么?
关注下方微信公众号,搜题查看答案

热门试题
- 1、请问该病例诊断是什么?2、请问诊断依
- 1、根据症状分析,请问首选的影像学检查是
- 1、结合CT检查,最可能的诊断是?2、椎
- 1、请问该患者最可能的诊断是什么?2、请
- 1、请问该患者CT表现是什么?2、请问最
- 1、影像诊断思路是什么?2、诊断要点与鉴
- 1、根据上述病史,请问首先考虑何种疾病?
- 1、对于此患者,请问应考虑的诊断是什么?
- 1、请问该病例最可能的诊断是?2、为了排
- 1、请问该患者最可能的诊断是什么?2、请
- 1、本病最可能诊断为?2、请问诊断依据是
- 1、请问该患者入院后首先要做哪项常规检查
- 1、从题干临床表现看,应首先考虑哪种疾病
- 1、影像诊断思路是什么?2、诊断要点与鉴
- 1、影像诊断思路是什么?2、诊断要点与鉴
- 1、患者最可能的诊断是?2、[提示]患者
- 1、请问针对该病患最准确的诊断是什么?2
- 1、胃溃疡临床特点是什么?2、胃溃疡的常
- 1、为了明确诊断,请问需要做哪些检查?2
- 1、请问该患者临床拟诊断为什么病?2、请