试题详情
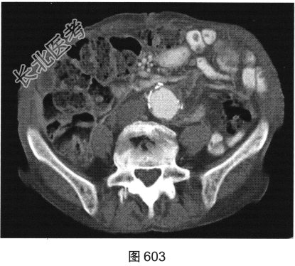
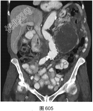
- [材料题] 患者女性,85岁,腹主动脉瘤破裂手术修复后,腹部疼痛。患者行腹部CT检查,见图603~图607。

- 简答题1、请对该病变CT影像表现进行描述。
关注下方微信公众号,搜题查看答案

- 简答题2、若CT发现该病灶,请问下一步进行哪项检查最合适?
关注下方微信公众号,搜题查看答案

- 简答题3、患者进一步行MRI检查,请对MRI影像特征描述一下。
关注下方微信公众号,搜题查看答案

- 简答题4、请问患者最可能的诊断是什么?
关注下方微信公众号,搜题查看答案

- 简答题5、如以上疾病确诊,请问有什么治疗方案?
关注下方微信公众号,搜题查看答案

热门试题
- 1、该患者诊断为?2、请问咽腔可以划分几
- 1、请问影像诊断思路是什么?2、请问诊断
- 1、请问关于该病变,首选的检查方法是什么
- 1、请问患者应该考虑到是什么疾病?2、若
- 1、请问可能诊断的是?2、为进一步明确诊
- 1、请问患者诊断是什么?2、请问诊断依据
- 1、为明确病情,请问患者应优先选择哪种常
- 1、请问你认为应做哪些检查?2、患者所做
- 1、为了明确病情,请问患者应优先选择哪些
- 1、患者可诊断为?2、患者优先选择的检查
- 1、硬膜下血肿临床表现有哪些?2、硬膜下
- 1、请问该患者CT表现是什么?2、请问最
- 1、对于此患者,请问应考虑的诊断是什么?
- 1、影像诊断思路是什么?2、诊断要点与鉴
- 1、CT检查如下图,拟诊断为?
- 1、请问目前患者的诊断主要考虑什么?2、
- 1、该患者的影像诊断是什么?2、甲状腺癌
- 1、该病例可能的诊断是什么?2、CT检查
- 1、请问该病例影像学首先应做哪些检查?2
- 1、诊断是什么?2、心包积液的常见原因有