试题详情
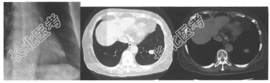
- [材料题] 患者,女,35岁。咳嗽1个月余,胸片及CT如下图。

- 简答题1、针对上述病例,请问哪种疾病可能性最大?
关注下方微信公众号,搜题查看答案

- 简答题2、为进一步确诊,可选择哪些检查方法?
关注下方微信公众号,搜题查看答案

- 简答题3、请问有什么治疗方案?
关注下方微信公众号,搜题查看答案

热门试题
- 1、该患者的诊断是什么?2、诊断依据有哪
- 1、请问该患儿诊断是什么?2、请问诊断依
- 1、请问患者入院后应先选择哪些常规检查?
- 1、为明确病情,请问患者应优先选择哪种常
- 1、请问该患者的影像诊断是什么?2、该病
- 1、请叙述卵巢癌临床症状和该影像学表现?
- 1、请问该病例影像诊断思路是什么?2、请
- 1、若病人有明确的外伤史1周,出现局部红
- 1、请对该病的MRI进行描述。2、根据该
- 1、CT检查如下图,请问拟诊断为什么?
- 1、影像诊断思路是什么?2、诊断要点与鉴
- 1、胃溃疡临床特点是什么?2、胃溃疡的常
- 1、图中钙化应考虑为?本病应诊断为?2、
- 1、请问患者应该考虑到是什么疾病?2、若
- 1、该患者的影像诊断是什么?2、甲状腺癌
- 1、初步诊断为何病?2、AS的诊断依据是
- 1、该病例首先诊断为:2、黄色肉芽肿性肾
- 1、请问最可能的诊断是?2、为进一步确诊
- 1、请问该病诊断是什么?2、膀胱结石的主
- 1、请问该患者可能的诊断是什么?2、请问