- [材料题]
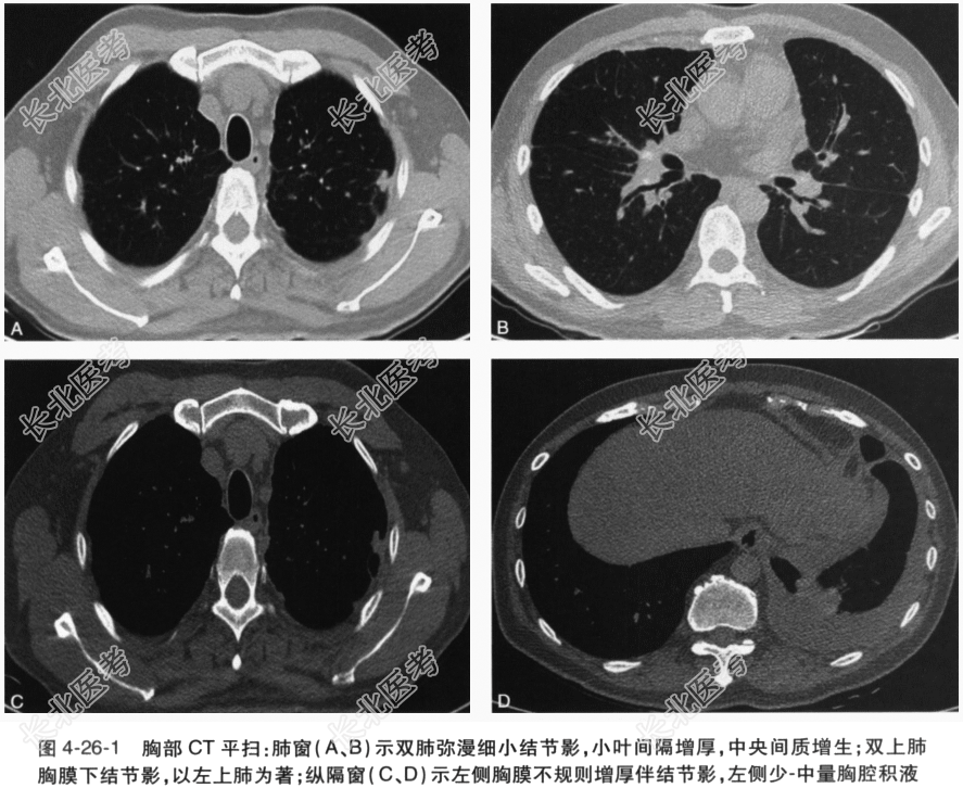
患者男性,52岁,银行职员。主因“胸腔积液2年余”。患者2年前体检发现左侧胸腔积液,多次就诊于当地及外省市三级医院,给予反复多次胸腔穿刺,胸腔积液查找脱落细胞及抗酸杆菌、肿瘤标志物、类风湿因子、细菌培养、T-SPOT和胸腔积液ADA检查均阴性,胸膜活检病理示慢性炎症。先后予以抗感染治疗、诊断性羟氯喹抗风湿免疫治疗及诊断性抗结核治疗,胸腔积液均无明显减少。为进一步明确诊断,收入我科。患病以来精神好,胃纳可,睡眠好,大小便正常,无明显体重下降。入院查体:T36.6℃,P89次/min,R15次/min,BP117/76mmHg。神清,步入病房,查体合作。全身皮肤无溃烂,浅表淋巴结无肿大。巩膜无黄染。口唇无发绀,咽喉不红,扁桃体不大。胸廓对称无畸形,胸骨无压痛;触觉语颤左侧减弱,未触及胸膜摩擦感;双肺叩诊呈清音,左下肺叩诊浊音,肩胛下角线左肺下界上移;右肺呼吸音清晰,左侧呼吸音减弱,未闻及胸膜摩擦音。心率89次/min,律齐;各瓣膜听诊区未闻及病理性杂音。腹软,全腹无压痛,无肌紧张及反跳痛,肝脾肋下未触及,肝肾区无叩击痛,肠鸣音3次/min。关节无红肿,无杵状指(趾),双下肢无水肿。肌力正常,肌张力正常,生理反射存在,病理反射未引出。既往史及个人史:冠心病史7年,心脏支架植入术后,未服用药物。关节肿痛及结膜炎反复发作。否认鼻炎、哮喘史。已婚已育1子。吸烟20余年,平均20支/d,已戒烟2年。否认冶游史。辅助检查:血常规、肝肾功能:均正常。NT-proBNP:正常。CRP、降钙素原:均正常。肿瘤标志物:均正常。真菌G试验、乳胶凝集试验:均正常。T-SPOT:阴性。心脏超声:左心收缩功能正常,左心舒张功能正常。EF:66%。胸部CT平扫(图4-26-1):双肺肺门及支气管血管束中央间质增生,小叶间隔增厚,双侧肺野弥漫性细小结节影;双侧胸膜局限性增厚及多发结节影;左侧少-中量胸腔积液;冠脉支架植入术后;心包少量积液。
胸部B超和全身浅表淋巴结超声:左侧胸腔大量积液,左侧锁骨上淋巴结肿大,形态欠规则。胸腔积液相关检查:浆膜腔积液常规:颜色:淡橙色,透明度:混浊,李凡他试验:+,红细胞:5.98×10⁹/L,有核细胞:4.26×10⁹/L。如下表(表4-26-1)所示。
血免疫球蛋白和补体系列:正常。ANA及ENA抗体谱:均未见异常。支气管镜检查:左上叶、右下叶、右上叶支气管开口处可见黏膜多发隆起性小结节(图4-26-2A)。于左下叶开口处活检送病理学检查。
病理报告(图4-26-2B):(左下叶结节)非坏死性肉芽肿,提示肺结节病可能性大。初步诊断:1.胸腔积液原因待查;2.冠心病,PCI术后。
- 简答题1、
患者是什么性质的胸腔积液?
关注下方微信公众号,搜题查看答案

- 简答题2、
患者渗出性胸腔积液的病因是什么?
关注下方微信公众号,搜题查看答案

- 简答题3、
患者胸腔积液与肺结节病相关吗?
关注下方微信公众号,搜题查看答案

- 简答题4、
最终诊断是什么?
关注下方微信公众号,搜题查看答案

- 简答题5、
如何治疗?
关注下方微信公众号,搜题查看答案

- 1、该病人应首先考虑什么疾病?怎样进一步
- 1、该患者的诊断是什么? 2、如何用药
- 1、该患者初步诊断为 2、还需要与哪些
- 1、目前考虑的诊断是什么? 2、诊断为
- 1、该患者初步诊断及诊断依据是什么?
- 1、该患者初步诊断为? 2、 诊断
- 1、该患者的诊断是什么? 2、该患者的
- 1、为鉴别诊断该病例还需要完善哪些主要辅
- 1、该患者初步诊断为?诊断依据是什么?
- 1、该患者的初步诊断是什么?诊断依据是什
- 1、请问本病例最可能的诊断是? 2、请
- 1、该患者初步诊断为? 2、还需要与哪
- 1、该患者的诊断是什么? 2、该患者的
- 1、该患者初步诊断为 2、还需要与哪些
- 1、该患者初步诊断为?诊断依据是什么?
- 1、该患者初步诊断为? 2、 还需
- 1、请问该患者入院时的可能诊断考虑有哪些
- 1、请问由肺癌引起的副癌综合征表现(肺癌
- 1、该患者的诊断是什么? 2、如何用药
- 1、此时应采取的治疗措施有? 2、该患