试题详情
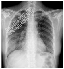
- [材料题] 患者,女性,35岁,发热、咳嗽5天,咳嗽时伴有右侧胸痛。查体:右下肺可闻及湿啰音,心脏体查无异常。做胸部X光平片检查。

- 简答题1、诊断及依据是什么?
关注下方微信公众号,搜题查看答案

- 简答题2、鉴别诊断有哪些?
关注下方微信公众号,搜题查看答案

热门试题
- 1、诊断要点是什么?2、鉴别诊断是什么?
- 1、诊断及依据是什么?2、鉴别诊断有哪些
- 1、慢性阻塞性肺气肿的形成原因和病理过程
- 1、主动脉夹层常见的胸片表现有哪些?2、
- 1、转移瘤的鉴别诊断有哪些?2、转移瘤的
- 1、患者的诊断及依据是什么?2、鉴别诊断
- 1、请简述该病例的诊断要点是什么?2、鉴
- 1、患者的诊断及依据是什么?2、患者的相
- 1、患者的诊断及依据是什么?2、鉴别诊断
- 1、错构瘤是肿瘤吗?病理特点和分类有哪些
- 1、肝囊肿的影像表现有哪些?2、肝囊肿的
- 1、垂体微腺瘤的主要影像学检查方法有哪些
- 1、DSA检查需要进行造影的血管是?2、
- 1、脑动脉瘤经血管内治疗技术种类有哪些?
- 1、患者的诊断及依据是什么?2、鉴别诊断
- 1、应该做哪些检查?2、患者做CT检查如
- 1、为什么选择颈椎张口位来观察寰枢椎?2
- 1、诊断要点是什么?2、鉴别诊断是什么?
- 1、影像诊断思路是什么?2、诊断要点与鉴
- 1、诊断及依据是什么?2、鉴别诊断有哪些