试题详情
- [材料题] 一、病史
(1)主诉:患者,男性,50岁,体格检查胸片发现肺部结节。
(2)体格检查:未及明显异常。
(3)实验室检查:未见明显异常。
二、影像学资料及分析
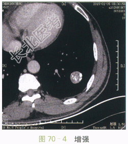
影像学资料如图70-1~图70-4所示。
图70-1~图70-4胸部CT平扫与增强:左肺下叶类圆形肿块,边缘光滑,瘤灶内斑点状钙化,呈爆米花样改变,增强扫描未见明显强化
读片分析:CT表现:左肺下叶类圆形肿块,直径约2.7cm,边缘光滑清楚,瘤灶内见多发的小斑片状钙化,呈爆米花样改变,增强扫描未见明显强化。
- 简答题1、错构瘤是肿瘤吗?病理特点和分类有哪些?
关注下方微信公众号,搜题查看答案

- 简答题2、错构瘤的鉴别诊断有哪些?
关注下方微信公众号,搜题查看答案

- 简答题3、错构瘤的影像学检查表现有哪些?
关注下方微信公众号,搜题查看答案

热门试题
- 1、骨样骨瘤的影像学特征是什么?2、骨样
- 1、患者的诊断及依据是什么?2、鉴别诊断
- 1、患者的诊断及依据是什么?2、鉴别诊断
- 1、膀胱癌病理变化有哪些?2、膀胱癌的影
- 1、患者的诊断及依据是什么?2、鉴别诊断
- 1、简述畸胎瘤的检查方法与选择。2、典型
- 1、患者的诊断及诊断依据是什么?2、应与
- 1、表皮样囊肿影像学诊断有哪些?2、表皮
- 1、请简述该病例的诊断要点是什么?2、鉴
- 1、影像诊断思路是什么?2、鉴别诊断是什
- 1、诊断要点是什么?2、鉴别诊断是什么?
- 1、诊断要点是什么?2、鉴别诊断是什么?
- 1、诊断及依据是什么?2、鉴别诊断有哪些
- 1、影像诊断思路是什么?2、诊断要点是什
- 1、该患者的诊断及依据是什么?2、其影像
- 1、患者的诊断要点是什么?2、鉴别诊断有
- 1、患者的诊断及依据是什么?2、鉴别诊断
- 1、应该做哪些检查?2、患者检查图像如下
- 1、根据上述患者的临床表现及CT所示,可
- 1、脑膜瘤的诊断及诊断依据是什么?2、其