试题详情
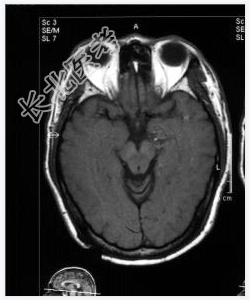
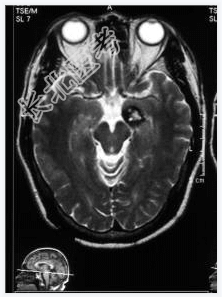
- [材料题] 患者,男性,52岁,间隙性发作情绪激动、乱语2年。一月前外院CT提示左海马高密度影,性质待定。做头颅MRI检查。

- 简答题1、诊断及依据是什么?
关注下方微信公众号,搜题查看答案

- 简答题2、鉴别诊断有哪些?
关注下方微信公众号,搜题查看答案

热门试题
- 1、患者的诊断及依据是什么?2、患者的相
- 1、诊断要点是什么?2、鉴别诊断是什么?
- 1、诊断要点是什么?2、鉴别诊断是什么?
- 1、肝囊肿的影像表现有哪些?2、肝囊肿的
- 1、诊断及依据是什么?2、鉴别诊断有哪些
- 1、肺转移性肿瘤的影像学典型和不典型表现
- 1、影像诊断思路是什么?2、诊断要点是什
- 1、患者的诊断及依据是什么?2、鉴别诊断
- 1、诊断及依据是什么?2、鉴别诊断有哪些
- 1、影像诊断思路是什么?2、诊断要点与鉴
- 1、影像诊断思路是什么?2、诊断要点是什
- 1、肝血管瘤的鉴别诊断有哪些?2、肝血管
- 1、进行心脏MRI检查,请问需要注意事项
- 1、患者的诊断及依据是什么?2、鉴别诊断
- 1、肾脏透明细胞癌鉴别诊断有哪些?2、肾
- 1、患者的诊断及依据是什么?2、鉴别诊断
- 1、患者CT检查的主要影像表现是什么?2
- 1、血管母细胞瘤的影像学诊断有哪些?2、
- 1、风湿性心脏病的病理生理基础有哪些?2
- 1、请简述该病例的诊断要点是什么?2、鉴