试题详情
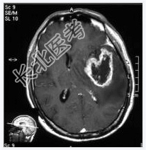
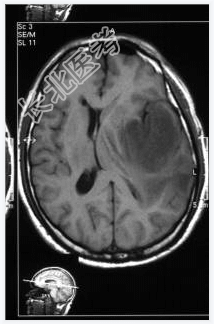
- [材料题] 患者,男性,58岁,因头疼1月余,伴嗜睡、记忆力下降、性格改变1周入院。头颅MRI检查。

- 简答题1、诊断及依据是什么?
关注下方微信公众号,搜题查看答案

- 简答题2、鉴别诊断有哪些?
关注下方微信公众号,搜题查看答案

热门试题
- 1、诊断要点是什么?2、鉴别诊断是什么?
- 1、请问该患者优先选择的检查是?2、[提
- 1、患者的诊断及依据是什么?2、患者的相
- 1、诊断要点是什么?2、鉴别诊断是什么?
- 1、鼻咽纤维血管瘤的诊断要点是什么?2、
- 1、患者的诊断及依据是什么?2、鉴别诊断
- 1、支气管扩张的鉴别诊断有哪些?2、支气
- 1、诊断要点是什么?2、鉴别诊断是什么?
- 1、鼻腔内翻乳头状瘤的影像诊断要点是什么
- 1、诊断要点是什么?2、鉴别诊断是什么?
- 1、本病最可能诊断为?2、本病常见症状和
- 1、该病最可能的诊断是?2、类风湿关节炎
- 1、患者的诊断及依据是什么?2、鉴别诊断
- 1、脑脓肿的病理分几期?2、脑脓肿的鉴别
- 1、患者的诊断及依据是什么?2、鉴别诊断
- 1、脑膜瘤的诊断依据是什么?2、脑膜瘤的
- 1、影像诊断思路是什么?2、诊断要点是什
- 1、患者的诊断及依据是什么?2、患者的相
- 1、软骨母细胞瘤的影像特征有哪些?2、软
- 1、胃肠道穿孔需与哪些正常情况腹腔游离气