试题详情
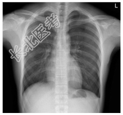
- [材料题] 患者,男性,19岁,突发左胸痛2小时入院。查体.左侧呼吸音减低,深呼吸疼痛加剧,未闻及干湿性啰音。心脏体查无异常。做胸部X光平片检查。

- 简答题1、诊断及依据是什么?
关注下方微信公众号,搜题查看答案

- 简答题2、鉴别诊断有哪些?
关注下方微信公众号,搜题查看答案

热门试题
- 1、请简述该病例的诊断要点是什么?2、最
- 1、诊断及依据是什么?2、鉴别诊断有哪些
- 1、腹腔动脉造影可显示的血管有?2、除了
- 1、患者的诊断及依据是什么?2、经皮椎体
- 1、诊断及依据是什么?2、鉴别诊断有哪些
- 1、诊断及依据是什么?2、鉴别诊断有哪些
- 1、诊断及依据是什么?2、鉴别诊断有哪些
- 1、患者的诊断及依据是什么?2、鉴别诊断
- 1、患者的诊断及依据是什么?2、患者的相
- 1、患者的诊断及依据是什么?2、鉴别诊断
- 1、诊断要点是什么?2、鉴别诊断是什么?
- 1、患者的诊断及依据是什么?2、鉴别诊断
- 1、诊断及依据是什么?2、鉴别诊断有哪些
- 1、根据上述资料,你认为应该做哪些检查?
- 1、其主要的影像学检查方法有哪些?2、R
- 1、诊断要点是什么?2、鉴别诊断是什么?
- 1、肝囊肿的影像表现有哪些?2、肝囊肿的
- 1、为了明确诊断,应做哪些影像学检查?2
- 1、患者的诊断及依据是什么?2、宫颈癌大
- 1、患者的诊断及依据是什么?2、泌尿系结