试题详情
- [材料题] 一、病史
男,51岁,阵发性头痛、头晕7月余,走路不稳4月余。
二、影像学资料及分析
影像学资料如图25-1~图25-4所示。
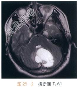
读片分析:头颅横断面T₁WI示小脑半球囊性占位,呈低信号影,边界清晰,边缘光整,内可见附壁结节,呈等低信号影,第四脑室受压改变;横断面T₂WI囊液呈脑脊液样高信号影;增强扫描可见附壁结节明显强化。结合病史,患者考虑为血管母细胞瘤。
- 简答题1、血管母细胞瘤的影像学诊断有哪些?
关注下方微信公众号,搜题查看答案

- 简答题2、血管母细胞瘤的鉴别诊断有哪些?
关注下方微信公众号,搜题查看答案

- 简答题3、主要影像学检查方法有哪些?
关注下方微信公众号,搜题查看答案

热门试题
- 1、根据上述资料,你认为应该做哪些检查?
- 1、患者的诊断及依据是什么?2、鉴别诊断
- 1、患者的诊断及依据是什么?2、鉴别诊断
- 1、患者的诊断及依据是什么?2、鉴别诊断
- 1、请问该患者可能诊断为?2、为进一步确
- 1、肺动脉栓塞首选的影像学检查方法是什么
- 1、皮样囊肿的影像学诊断有哪些?2、皮样
- 1、胃癌的CT扫描分期有哪几期?2、胃癌
- 1、影像诊断思路是什么?2、诊断要点是什
- 1、骨巨细胞瘤的CT影像特征有哪些?2、
- 1、诊断要点是什么?2、鉴别诊断是什么?
- 1、本例最可能的诊断为?2、子宫腺肌症M
- 1、信号由180°射频脉冲产生的是什么?
- 1、进行心脏MRI检查,请问需要注意事项
- 1、简述相关处理方案及基本原则。2、食管
- 1、患者的诊断及依据是什么?2、鉴别诊断
- 1、腹腔动脉造影可显示的血管有?2、除了
- 1、患者的诊断及依据是什么?2、患者的相
- 1、诊断及依据是什么?2、鉴别诊断有哪些
- 1、诊断及依据是什么?2、鉴别诊断有什么