试题详情
- [材料题] 【临床病史】女性,24岁,患者自诉于10日前无明显诱因出现右侧腰腹部疼痛不适,呈持续性,无他处放射痛,与体位无关,无食欲缺乏、腹胀、腹泻、嗳气,无发热、寒战及黄疸。
【专科查体】腹部平坦,呼吸运动正常,未见胃型,未见肠型,未见蠕动波,无腹壁静脉曲张、手术瘢痕;肝脏未触及,胆囊未触及,Murphy征阴性。脾脏未触及,输尿管压痛点阴性,肋脊点阴性,肋腰点阴性。肝浊音界存在,肝上界位于右锁骨中线第5肋间,肝区无叩击痛,移动性浊音阴性,双侧肾区无叩击痛。肠鸣音正常,3次/分,未闻及血管杂音。
【腹部CT检查】仰卧位,横断位扫描,CT扫描采用美国GE Discovery 750HD能谱CT扫描仪,行上腹部定位平扫及双期增强扫描。层厚设定为5.00mm,层间距设定为5.00mm,重建间隔设定为2.50~5.00mm,螺距设定为0.50~1.50,最大管电压均为120kV,最大管电流均设定为200~260mA。增强扫描时对比剂采用碘伏醇(含碘320mg/ml),以3.5ml/s的流率注射1.5ml/kg,注射完成后以相同流率注射20ml生理盐水。分别延迟20~25秒、45~55秒行动脉期、门静脉期扫描。
【影像图片】见图6-1-1。
【手术所见】(肝左外叶)不整肝组织1块,大小为11cm×11cm×5.2cm,包膜完整,表面呈灰褐色,肝断端可见灰黄区,大小为8cm×6.5cm×4cm。(肝右叶6段)不整肝组织1块,大小为12.5cm×9cm×6.8cm,表面灰褐色部分附包膜,临床已部分切开。另见不整肝组织1块,大小为10.5cm×8cm×3.5cm,表面呈灰红、灰褐色,切面呈灰红、灰褐色,可见散在灰黄色结节,直径为0.5~0.7cm。(尾状叶)不整肝组织2块,大小为6.2cm×6cm×3.5cm,表面呈灰褐色,部分附包膜,切面呈灰褐色,质中,可见散在灰黄色结节,直径为0.4~1.2cm。
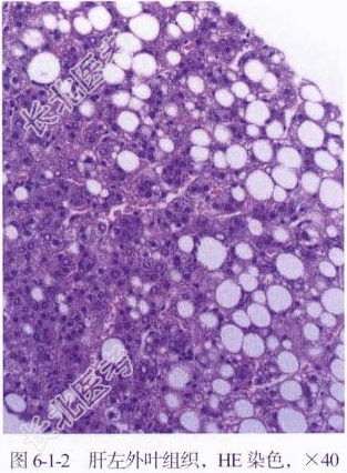
【病理所见】(肝左外叶)切面呈灰黄、灰红色,质中,相连肝组织切面可见散在灰黄色结节,直径为0.4~1.2cm,周围肝脏灰红色,质中,肝细胞排列紊乱,呈结节状,部分区域见纤维组织增生和大量脂肪细胞(图6-1-2);(肝右叶6段)切面见一灰红色区,质软,大小为5cm×4.5cm×4cm,余切面可见散在灰黄色结节,大小为0.2~1cm,局灶血管扩张、充血,灶区组织梗死。
【病理诊断】肝细胞腺瘤(多发)伴脂肪变性。
- 简答题1、影像诊断思路是什么?
关注下方微信公众号,搜题查看答案

- 简答题2、诊断要点与鉴别诊断是什么?
关注下方微信公众号,搜题查看答案

- 简答题3、肝细胞腺瘤的定义是什么?典型临床表现有哪些?
关注下方微信公众号,搜题查看答案

- 简答题4、多发性肝细胞腺瘤的常见病因有哪些?
关注下方微信公众号,搜题查看答案

- 简答题5、肝细胞腺瘤伴脂肪变性的治疗策略有哪些?
关注下方微信公众号,搜题查看答案

热门试题
- 1、诊断要点是什么?2、鉴别诊断是什么?
- 1、诊断要点是什么?2、鉴别诊断是什么?
- 1、诊断要点是什么?2、鉴别诊断是什么?
- 1、患者的诊断及依据是什么?2、鉴别诊断
- 1、中央神经细胞瘤的影像学诊断有哪些?2
- 1、诊断及依据是什么?2、鉴别诊断有哪些
- 1、患者的诊断及依据是什么?2、鉴别诊断
- 1、诊断及依据是什么?2、鉴别诊断有哪些
- 1、患者的诊断及依据是什么?2、该诊断的
- 1、影像诊断思路是什么?2、诊断要点与鉴
- 1、腹腔动脉造影可显示的血管有?2、除了
- 1、诊断及依据是什么?2、鉴别诊断有哪些
- 1、脑膜瘤的诊断依据是什么?2、脑膜瘤的
- 1、肾盂癌的影像学表现有哪些?2、肾盂癌
- 1、请简述该病例的诊断要点是什么?2、鉴
- 1、请简述该病例的诊断要点是什么?2、鉴
- 1、请简述该病例的诊断要点是什么?2、鉴
- 1、患者的诊断及依据是什么?2、胃肠道间
- 1、患者的诊断及依据是什么?2、鉴别诊断
- 1、患者的诊断及依据是什么?2、患者的相