试题详情
- [材料题] 一、病史
(1)症状:女,65岁,发热1周,伴神志异常2天。
(2)实验室检查:潘氏实验阳性,脑脊液白细胞计数升高,脑脊液蛋白升高。抗巨细胞病毒IgG阳性,抗单细胞病毒1型IgG阳性,抗EB病毒衣壳抗原IgG阳性。
二、影像学资料及分析
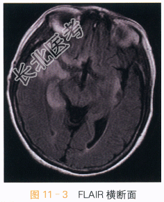
影像学资料如图11-1~图11-4所示。
读片分析:两侧岛叶及右侧颞叶可见片状异常信号影,右侧为著,呈T₁WI低信号,T₂WI、FLAIR高信号影,增强后可见轻度强化,未侵及两侧基底节区。两侧岛叶及右侧颞叶异常信号灶,右侧为著,结合患者临床表现及其它检查考虑病毒性脑炎可能。
- 简答题1、患者诊断要点是什么?
关注下方微信公众号,搜题查看答案

- 简答题2、病毒性脑炎鉴别诊断有哪些?
关注下方微信公众号,搜题查看答案

- 简答题3、病毒性脑炎影像学检查选择?
关注下方微信公众号,搜题查看答案

热门试题
- 1、诊断要点是什么?2、鉴别诊断是什么?
- 1、该病例最可能的诊断是什么?2、该病例
- 1、该患者可能诊断及依据是什么?2、相关
- 1、诊断要点是什么?2、鉴别诊断是什么?
- 1、诊断及依据是什么?2、鉴别诊断有哪些
- 1、患者的诊断及依据是什么?2、鉴别诊断
- 1、提示:盆腔超声示子宫内膜增厚,最厚处
- 1、患者的诊断及依据是什么?2、鉴别诊断
- 1、什么是嗜酸性肉芽肿?2、影像表现有什
- 1、提示:查体发现腹部膨隆,肝肋下4cm
- 1、慢性阻塞性肺气肿的形成原因和病理过程
- 1、患者的诊断及依据是什么?2、患者的相
- 1、请简述该病例的诊断要点是什么?2、鉴
- 1、血管母细胞瘤的影像学诊断有哪些?2、
- 1、诊断及依据是什么?2、鉴别诊断有哪些
- 1、患者的诊断及依据是什么?2、鉴别诊断
- 1、患者的诊断及依据是什么?2、鉴别诊断
- 1、应该做哪些检查?2、患者检查图像如下
- 1、患者的诊断及依据是什么?2、肺结节病
- 1、前列腺癌鉴别诊断有哪些?2、前列腺癌