试题详情
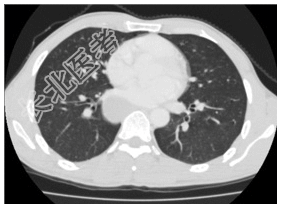
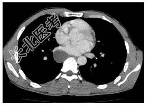
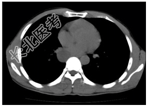
- [材料题] 患者,男性,31岁。阵发性胸痛多年,近来明显。查体:双肺呼吸音清,未闻及干湿性啰音。腹平软,肝脾未扪及。行胸部CT平扫及增强检查。

- 简答题1、患者的诊断及依据是什么?
关注下方微信公众号,搜题查看答案

- 简答题2、鉴别诊断有哪些?
关注下方微信公众号,搜题查看答案

热门试题
- 1、请简述该病例的诊断要点是什么?2、鉴
- 1、应该做哪些检查?2、患者检查图像如下
- 1、患者的诊断及依据是什么?2、鉴别诊断
- 1、诊断要点是什么?2、鉴别诊断是什么?
- 1、DSA检查需要进行造影的血管是?2、
- 1、诊断及依据是什么?2、鉴别诊断有哪些
- 1、该患者可能诊断及依据是什么?2、相关
- 1、纵隔淋巴瘤的典型影像学有哪些表现?2
- 1、影像诊断思路是什么?2、诊断要点与鉴
- 1、诊断及依据是什么?2、鉴别诊断有哪些
- 1、患者的诊断及依据是什么?2、鉴别诊断
- 1、影像诊断思路是什么?2、鉴别诊断是什
- 1、诊断及依据是什么?2、鉴别诊断有哪些
- 1、请简述该病例的诊断要点是什么?2、鉴
- 1、本例最可能的诊断为?2、子宫腺肌症M
- 1、患者CT检查的主要影像表现是什么?2
- 1、根据上述资料,适合做哪种检查?2、患
- 1、患者的诊断及依据是什么?2、鉴别诊断
- 1、影像诊断思路是什么?2、诊断要点是什
- 1、患者的诊断为什么?2、颈动脉间隙内有