试题详情
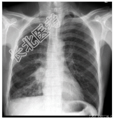
- [材料题] 患者,男性,53岁。咳嗽,咳痰2月余,痰中间或带血丝。患者有吸烟史20余年,每天20支。查体.右下肺呼吸音减弱,可闻及湿啰音。心脏无异常。行胸部平片检查。

- 简答题1、诊断及依据是什么?
关注下方微信公众号,搜题查看答案

- 简答题2、鉴别诊断有哪些?
关注下方微信公众号,搜题查看答案

热门试题
- 1、肺部孤立性结节的诊断和鉴别诊断有哪些
- 1、患者的诊断及依据是什么?2、鉴别诊断
- 1、风湿性心脏病的病理生理基础有哪些?2
- 1、根据以上临床资料及影像学检查,需要考
- 1、影像诊断思路是什么?2、诊断要点是什
- 1、患者的诊断及依据是什么?2、鉴别诊断
- 1、患者的诊断及依据是什么?2、鉴别诊断
- 1、错构瘤是肿瘤吗?病理特点和分类有哪些
- 1、室管膜下瘤的影像学诊断有哪些?2、室
- 1、简述相关处理方案及基本原则。2、食管
- 1、患者的诊断及依据是什么?2、鉴别诊断
- 1、诊断要点是什么?2、鉴别诊断是什么?
- 1、患者的诊断及依据是什么?2、十二指肠
- 1、患者的诊断及依据是什么?2、鉴别诊断
- 1、主动脉夹层常见的胸片表现有哪些?2、
- 1、患者的诊断及依据是什么?2、需要与哪
- 1、信号由180°射频脉冲产生的是什么?
- 1、诊断要点是什么?2、鉴别诊断是什么?
- 1、为了明确诊断,应做哪些影像学检查?2
- 1、患者的诊断为什么?2、颈动脉间隙内有