试题详情
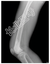
- [材料题] 患者男,21岁,右股骨下端肿痛2月余。查体:右股骨下端压痛,肿胀,可触及软组织肿块。行股骨下段正侧位片检查。

- 简答题1、患者的诊断及依据是什么?
关注下方微信公众号,搜题查看答案

- 简答题2、鉴别诊断是什么?
关注下方微信公众号,搜题查看答案

热门试题
- 1、诊断要点是什么?2、鉴别诊断是什么?
- 1、诊断要点是什么?2、鉴别诊断是什么?
- 1、简述患者的处理方案及基本原则。2、消
- 1、影像诊断思路是什么?2、诊断要点是什
- 1、血管母细胞瘤的影像学诊断有哪些?2、
- 1、该患者的诊断是什么?其影像学表现有哪
- 1、患者的诊断及依据是什么?2、鉴别诊断
- 1、某图像的每个像素由8位组成,则该图像
- 1、直肠癌常用的CT扫描分期如何分?2、
- 1、请问该病例诊断是什么?2、请问胃小弯
- 1、诊断及依据是什么?2、鉴别诊断有哪些
- 1、患者的诊断及依据是什么?2、患者的相
- 1、患者CT线检查的主要影像表现是什么?
- 1、请简述该病例的诊断要点是什么?2、鉴
- 1、请对该病例进行分析,提出可能的诊断及
- 1、患者的诊断及依据是什么?2、鉴别诊断
- 1、患者的诊断及依据是什么?2、鉴别诊断
- 1、影像诊断思路是什么?2、诊断要点与鉴
- 1、请简述该病例的诊断要点是什么?2、鉴
- 1、患者的诊断及依据是什么?2、鉴别诊断