试题详情
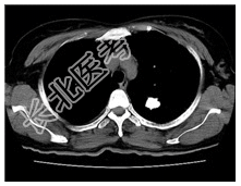
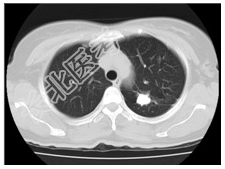
- [材料题] 患者,女性,51岁。体检发现左上肺高密度结节。查体:双肺呼吸音清,未闻及干湿性啰音。心脏无异常。行胸部CT平扫。

- 简答题1、患者的诊断及依据是什么?
关注下方微信公众号,搜题查看答案

- 简答题2、鉴别诊断有哪些?
关注下方微信公众号,搜题查看答案

热门试题
- 1、诊断及依据是什么?2、鉴别诊断有哪些
- 1、垂体微腺瘤的主要影像学检查方法有哪些
- 1、请问该病例可能的临床拟诊为?2、为进
- 1、根据髋关节CT和MR影像,你认为此病
- 1、患者的诊断及依据是什么?2、该诊断的
- 1、食管癌的主要影像学检查方法有哪些?2
- 1、患者的诊断及依据是什么?2、鉴别诊断
- 1、患者的诊断及依据是什么?2、脉络膜裂
- 1、影像诊断思路是什么?2、诊断要点与鉴
- 1、影像诊断思路是什么?2、诊断要点是什
- 1、根据以上资料,应该做哪些检查?2、患
- 1、诊断及依据是什么?2、鉴别诊断有什么
- 1、影像诊断思路是什么?2、诊断要点与鉴
- 1、请简述该病例的诊断要点是什么?2、鉴
- 1、神经上皮囊肿影像学诊断有哪些?2、神
- 1、请简述该病例的诊断要点是什么?2、鉴
- 1、请简述该病例的诊断要点是什么?2、鉴
- 1、其主要的影像学检查方法有哪些?2、R
- 1、患者的诊断及依据是什么?2、鉴别诊断
- 1、诊断要点是什么?2、鉴别诊断是什么?