试题详情
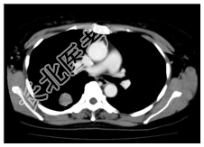
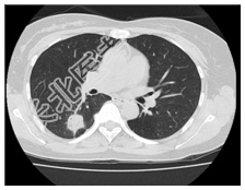
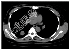
- [材料题] 患者,女性,47岁,体检发现右肺结节。查体:双肺呼吸音清,未闻及干湿性啰音。心脏体查无异常。行胸部CT平扫及增强。

- 简答题1、患者的诊断及依据是什么?
关注下方微信公众号,搜题查看答案

- 简答题2、鉴别诊断有哪些?
关注下方微信公众号,搜题查看答案

热门试题
- 1、影像诊断思路是什么?2、诊断要点与鉴
- 1、脑膜瘤的诊断及诊断依据是什么?2、其
- 1、诊断及依据是什么?2、鉴别诊断有哪些
- 1、根据上述资料,你认为应该做哪些检查?
- 1、应该做哪些检查?2、患者做CT检查如
- 1、根据以上临床资料及影像学检查,需要考
- 1、患者的诊断及依据是什么?2、鉴别诊断
- 1、患者的诊断及依据是什么?2、鉴别诊断
- 1、CT异常表现有哪些?2、该患者的诊断
- 1、诊断及依据是什么?2、鉴别诊断有哪些
- 1、影像诊断思路是什么?2、诊断要点是什
- 1、该病例最可能的诊断是什么?2、该病例
- 1、患者的诊断及依据是什么?2、鉴别诊断
- 1、纵隔气肿的典型影像学表现有哪些?2、
- 1、患者的诊断及依据是什么?2、患者的相
- 1、患者的诊断及依据是什么?2、鉴别诊断
- 1、诊断及诊断依据是什么?2、鉴别诊断有
- 1、患者的诊断及依据是什么?2、鉴别诊断
- 1、患者X线平片检查如图所示,请描述X线
- 1、血管母细胞瘤的影像学诊断有哪些?2、